Lawrence Keating (@keatin2) 's Twitter Profile
Lawrence Keating

@keatin2

ID: 1159067772

linkhttp://albanyir.com calendar_today08-02-2013 04:14:53

19 Tweet

34 Followers

59 Following

Vinay Prasad MD MPH (@vprasadmdmph) 's Twitter Profile Photo

When I was a medical student, I learned not to withdraw more than 1500cc during a thora lest I risk re-expansion pulmonary edema. When I was a resident, I decided to investigate the data that supported that 'teaching pearl' first hand.... [thread]

Albany IR (@albanyir) 's Twitter Profile Photo

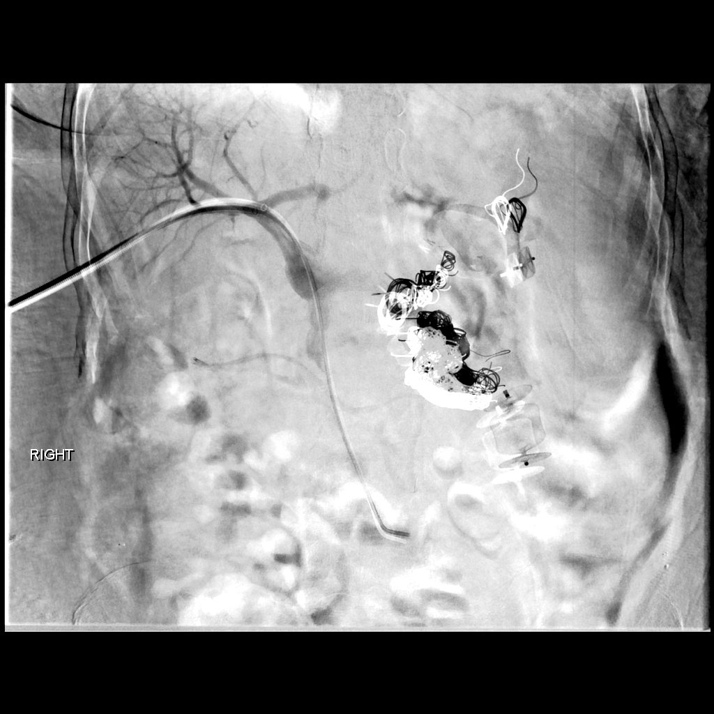
Renal AVM causing a varicocele and Dyspnea- embo X 2 1. AVM-AVP &coils 2. varicocele- STS&AVP -dyspnea resolved on the table #irad SIR RFS

Renal AVM causing a varicocele and Dyspnea- embo X 2
1. AVM-AVP &coils
2. varicocele- STS&AVP
-dyspnea resolved on the table #irad <a href="/SIRRFS/">SIR RFS</a>
John Moriarty (@jonnymoriarty) 's Twitter Profile Photo

SubM PE. Post CDT refractory hypoxia, indigo aspirated RLL occlusion. Way better, although mPAP no change, others seen this often?

SubM PE. Post CDT refractory hypoxia, indigo aspirated RLL occlusion. Way better, although mPAP no change, others seen this often?
Albany IR (@albanyir) 's Twitter Profile Photo

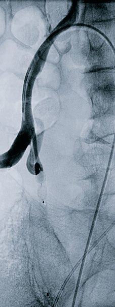
Part 2/2: 25 yo M IVDA with pulmonic valve vegetation. Successful Angiovac aspiration of 1.1cm vegetation with TEE guidance and no contrast. Vegetation positive for micrococcus luteus, antibiotics adjusted accordingly. Joseph DeMarco Gary Siskin SIR RFS #withoutascalpel #IRad

Part 2/2: 25 yo M IVDA with pulmonic valve vegetation.  Successful Angiovac aspiration of 1.1cm vegetation with TEE guidance and no contrast.  Vegetation positive for micrococcus luteus, antibiotics adjusted accordingly. <a href="/Striker9DO/">Joseph DeMarco</a> <a href="/gsiskin/">Gary Siskin</a> <a href="/SIRRFS/">SIR RFS</a> #withoutascalpel #IRad
Albany IR (@albanyir) 's Twitter Profile Photo

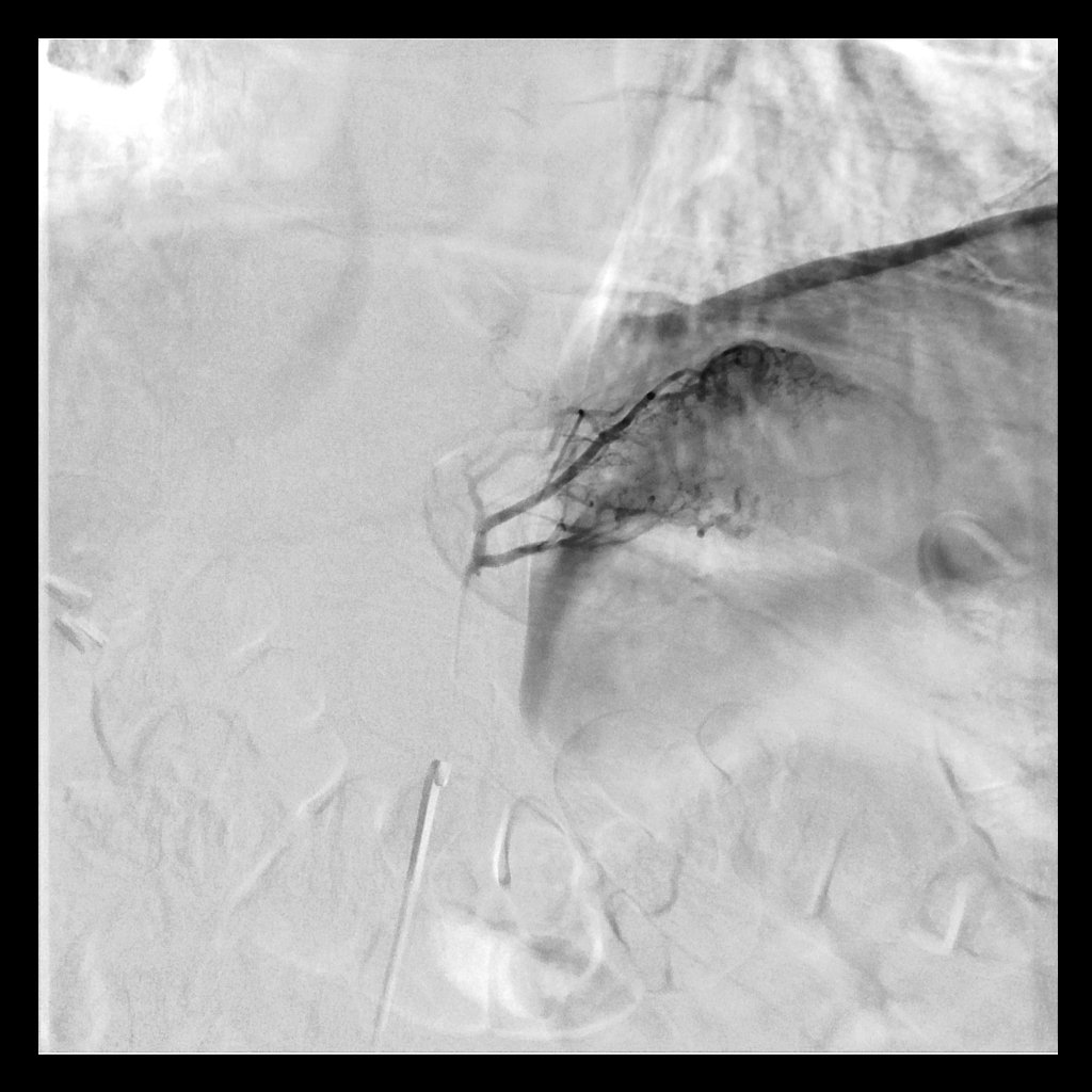
72 yo w/acute urinary retention 2/2 BPH. Remote h/o TURP. VIR consulted for PAE. Great clinical result. For more case info check out AlbanyIR.com/pae-case-1 and AlbanyIR.com/prostate-arter… for more about PAE. #IRad #PAE SIR RFS JVIR

72 yo w/acute urinary retention 2/2 BPH. Remote h/o TURP. VIR consulted for PAE. Great clinical result. For more case info check out AlbanyIR.com/pae-case-1 and AlbanyIR.com/prostate-arter… for more about PAE. #IRad #PAE <a href="/SIRRFS/">SIR RFS</a> <a href="/JVIRmedia/">JVIR</a>