Miguel (@maperezmachado) 's Twitter Profile
Miguel

@maperezmachado

Clinical Associate Professor UCL and Consultant Histo and Cytopathologist

ID: 930234805643440128

calendar_today14-11-2017 00:43:55

2,2K Tweet

625 Followers

245 Following

RC of Pathologists (@rcpath) 's Twitter Profile Photo

The Pathology Portal has won the Outstanding Innovation award at the Healthcare Honours 2023 Awards British Journal of Healthcare Management. This achievement is testament to all those involved in the project and its benefit for trainees, practising pathologists, scientists and those in pathology-linked roles

The Pathology Portal has won the Outstanding Innovation award at the Healthcare Honours 2023 Awards <a href="/bjhcm/">British Journal of Healthcare Management</a>. 
 
This achievement is testament to all those involved in the project and its benefit for trainees, practising pathologists, scientists and those in pathology-linked roles
Héctor-Enrique Torres-Rivas, MD (@duckhuca) 's Twitter Profile Photo

♂️ in his 80s. 🩺 Hemothorax ➕ pleural nodules. 💉 Pleural biopsy. 🔬 Angiosarcoma. IHC ➕ ERG, FLI1, D240, CD31. 3️⃣ #PINA2024 ➕ Reunión del grupo de trabajo de Patología Intervencionista de la SEAP-IAP. 🗓️ 27/04/24. Salón de actos del @HUCA.

♂️ in his 80s.
🩺 Hemothorax ➕ pleural nodules.
💉 Pleural biopsy.
🔬 Angiosarcoma.  IHC ➕ ERG, FLI1, D240, CD31.

3️⃣ #PINA2024 ➕ Reunión del grupo de trabajo de Patología Intervencionista de la <a href="/SEAP_IAP/">SEAP-IAP</a>.
🗓️ 27/04/24.  Salón de actos del <a href="/HUCA_Asturias/">@HUCA</a>.
Héctor-Enrique Torres-Rivas, MD (@duckhuca) 's Twitter Profile Photo

♀️ in her 70s. 🥃 Urine sample. 🔬 High Grade Urothelial Carcinoma. 👋 Solo 2️⃣ días... 💉 #PINA2024 / Reunión del grupo de trabajo de Patología Intervencionista de la SEAP-IAP. 🏥 Aula S2-006 del @HUCA.

♀️ in her 70s.
🥃 Urine sample.
🔬 High Grade Urothelial Carcinoma.

👋 Solo 2️⃣ días...
💉 #PINA2024 / Reunión del grupo de trabajo de Patología Intervencionista de la <a href="/SEAP_IAP/">SEAP-IAP</a>.
🏥 Aula S2-006 del <a href="/HUCA_Asturias/">@HUCA</a>.
Interventional Ultrasound for Pathologists (@usfna_spain) 's Twitter Profile Photo

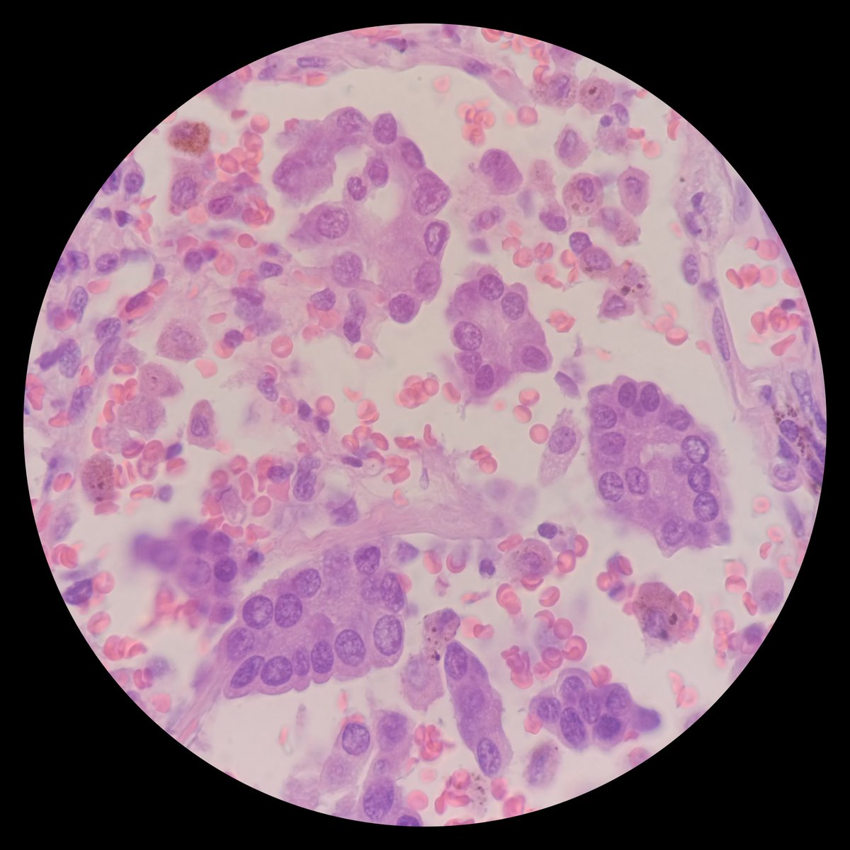
♀️ in her 70s 🩺 Uterine mass➕ascitis. 🔬 Category 5 The International System for Reporting Serous Fluid Cytopathology. Adenocarcinoma 🤏 A menos de 24h de la #PINA2024 /Reunión del grupo de trabajo de Patología Intervencionista de la SEAP-IAP 🏥 Salón S2-006 @HUCA

♀️ in her 70s
🩺 Uterine mass➕ascitis.
🔬 Category 5 The International System for Reporting Serous Fluid Cytopathology.  Adenocarcinoma

🤏 A menos de 24h de la #PINA2024 /Reunión del grupo de trabajo de Patología Intervencionista de la <a href="/SEAP_IAP/">SEAP-IAP</a>
🏥 Salón S2-006 <a href="/HUCA_Asturias/">@HUCA</a>
Héctor-Enrique Torres-Rivas, MD (@duckhuca) 's Twitter Profile Photo

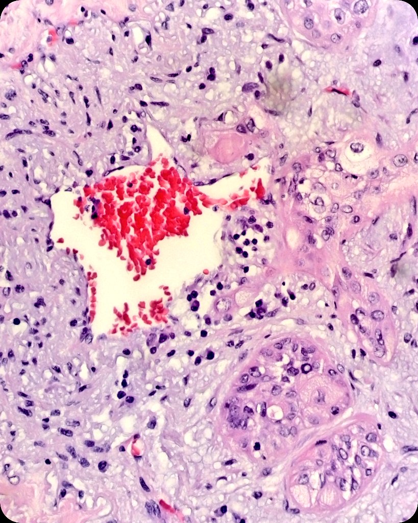
♂️ Medical record: Prostate Adenocarcinoma. 🫁 Enlarged Mediastinal Lymph Node. ❄️ CryoEBUS by Miguel Ariza Prota. Lymph node 7️⃣. 🔬 Metastatic Adenocarcinoma. #PathX #PathTwitter

♂️ Medical record:  Prostate Adenocarcinoma.
🫁 Enlarged Mediastinal Lymph Node.
❄️ CryoEBUS by <a href="/MiguelAriza83/">Miguel Ariza Prota</a>.  Lymph node 7️⃣.
🔬 Metastatic Adenocarcinoma.
#PathX #PathTwitter
Interventional Ultrasound for Pathologists (@usfna_spain) 's Twitter Profile Photo

🔄 Actualización del panel de ponentes de la #PINA2025. 🔟 Años de Patología Intervencionista. 📍Hospital Universitario Central de Asturias. Oviedo. 🗓️ 08 de marzo de 2025. 🔜 En breve más información con el programa preliminar. #Cytology #CytoPath #LungCancer #Thyroid #PathX

🔄 Actualización del panel de ponentes de la #PINA2025.
🔟 Años de Patología Intervencionista.
📍Hospital Universitario Central de Asturias.  Oviedo.
🗓️ 08 de marzo de 2025.
🔜 En breve más información con el programa preliminar.
#Cytology #CytoPath #LungCancer #Thyroid #PathX
International Academy Cytology (@iacytology) 's Twitter Profile Photo

The latest IAC-IARC-WHO book is out: The Reporting System for Lymph Node, Spleen & Thymus #cytopath - The printed book has just been published, & it will be up on Tumour Classification Online shortly publications.iarc.fr/Book-And-Repor…

The latest IAC-<a href="/IARCWHO/">IARC</a>-WHO book is out: The Reporting System for Lymph Node, Spleen &amp; Thymus #cytopath - The printed book has just been published, &amp; it will be up on Tumour Classification Online shortly publications.iarc.fr/Book-And-Repor…
Héctor-Enrique Torres-Rivas, MD (@duckhuca) 's Twitter Profile Photo

❄️ CryoEBUS - mediastinal lymph node - indications: 3️⃣ Level. Metastatic Non Small Cell Carcinoma. 🧬 Need for molecular testing. 4️⃣ Level. Miscellaneous. Inflammatory diseases. 🆓 Access: pubmed.ncbi.nlm.nih.gov/39837131/ #LungPath #PulmPath

❄️ CryoEBUS - mediastinal lymph node - indications:
3️⃣ Level.  Metastatic Non Small Cell Carcinoma. 🧬 Need for molecular testing.
4️⃣ Level.  Miscellaneous.  Inflammatory diseases.
🆓 Access: pubmed.ncbi.nlm.nih.gov/39837131/

#LungPath #PulmPath
Héctor-Enrique Torres-Rivas, MD (@duckhuca) 's Twitter Profile Photo

♂️ Medical record: Melanoma ➕ chemotherapy - immunotherapy. 💉 Lumbar puncture. Cerebrospinal fluid. 🔬 Negative for Melanoma. Incidental finding... #Cytology #CytoPath #PathX #PathTwitter

♂️ Medical record: Melanoma ➕ chemotherapy - immunotherapy.
💉 Lumbar puncture.  Cerebrospinal fluid.
🔬 Negative for Melanoma.  Incidental finding...

#Cytology #CytoPath #PathX #PathTwitter
Consejería de Salud (@astursalud) 's Twitter Profile Photo

#ConsejodeGobierno 🏥Autorizado un gasto de 1,14 millones para comprar doce ecógrafos de última generación destinados a los servicios de Radiología de las ocho áreas sanitarias. Más ℹ👇 tinyurl.com/5n8a9bm4

Héctor-Enrique Torres-Rivas, MD (@duckhuca) 's Twitter Profile Photo

🎉 The @HUCA Pathology Department is on the cover of the special issue of Cytopathology Interventional Cytopathology (pubmed.ncbi.nlm.nih.gov/38197485/). 👏🏽 Many thanks to Guest Editor Dr Karen Villar Zarra Karen VZ, and Editor-in-Chief Dr Philippe Vielh Philippe Vielh. #Cytology

🎉 The <a href="/HUCA_Asturias/">@HUCA</a> Pathology Department is on the cover of the special issue of <a href="/CytopathologyJ/">Cytopathology</a> Interventional Cytopathology (pubmed.ncbi.nlm.nih.gov/38197485/).

👏🏽 Many thanks to Guest Editor Dr Karen Villar Zarra <a href="/KarenLVZ/">Karen VZ</a>, and Editor-in-Chief Dr Philippe Vielh <a href="/PVielh/">Philippe Vielh</a>.

#Cytology