Maxwell Opoku. (@maxwell60713809) 's Twitter Profile
Maxwell Opoku.

@maxwell60713809

ID: 1595498969899081728

calendar_today23-11-2022 19:27:06

137 Tweet

110 Followers

540 Following

AJNR (@theajnr) 's Twitter Profile Photo

Dr. Mauricio Castillo joins Dr. Hiatt Kevin Hiatt to share his expert advice on how to review a manuscript. A former Editor-in-Chief of AJNR, Dr. Castillo offers a treasure trove of tips for aspiring reviewers. Check out the October 2023 podcast here: Spotify:

AJNR (@theajnr) 's Twitter Profile Photo

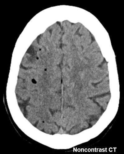
#AJNRcc >> November 20, 2023 >> What is the diagnosis for this 77-year-old woman with atrial fibrillation who presents with altered mental status after undergoing catheter ablation? Submit your answer at ow.ly/ctXf50Qcy4z

#AJNRcc >> November 20, 2023 >> What is the diagnosis for this 77-year-old woman with atrial fibrillation who presents with altered mental status after undergoing catheter ablation? Submit your answer at ow.ly/ctXf50Qcy4z
AJNR (@theajnr) 's Twitter Profile Photo

#AJNRcc >> November 27, 2023 >> What is the diagnosis for this 9-year-old boy with dysarthria, tremor, motor tics, and decreased scholastic performance for 1 year? Submit your answer at ow.ly/KikS50Qcyi2

#AJNRcc >> November 27, 2023 >> What is the diagnosis for this 9-year-old boy with dysarthria, tremor, motor tics, and decreased scholastic performance for 1 year? Submit your answer at ow.ly/KikS50Qcyi2
Subomi Omoleye (@o_subomi) 's Twitter Profile Photo

Thrilled to have given my first #RSNA Oral Presentation yesterday. Grateful for the mentorship and support from Dr. Abe Hiroyuki, Olufunmilayo Olopade, Dezheng Huo, Anna Woodard UChicago Radiology UChicagoCancerCenter Honored to have met inspiring leaders in #BreastImaging #ImagingAI #RSNA23

Thrilled to have given my first #RSNA Oral Presentation yesterday. Grateful for the mentorship and support from Dr. Abe Hiroyuki, <a href="/folopade/">Olufunmilayo Olopade</a>, <a href="/EpibioHuo/">Dezheng Huo</a>, <a href="/foozlefoo/">Anna Woodard</a>  <a href="/UChicagoRADS/">UChicago Radiology</a> <a href="/UCCancerCenter/">UChicagoCancerCenter</a> 

Honored to have met inspiring leaders in #BreastImaging #ImagingAI #RSNA23
Pedram Keshavarz, MD (@pedrammd) 's Twitter Profile Photo

Had an incredible experience presenting my projects at my second RSNA Annual Meeting in Chicago. The range of amazing topics was truly enlightening! As always, I learned a great deal about the future of HCC, LIRADS, and much more in my area of interest. Grateful to #RSNA2023

Had an incredible experience presenting my projects at my second RSNA Annual Meeting in Chicago. The range of amazing topics was truly enlightening! As always, I learned a great deal about the future of HCC, LIRADS, and much more in my area of interest. Grateful to #RSNA2023
AJNR (@theajnr) 's Twitter Profile Photo

"Clinical Outcomes and Safety Comparison of Vertebroplasty, Balloon Kyphoplasty, and Vertebral Implant for Treatment of Vertebral Compression Fractures" #CompressionFractures #OpenAccess American Society of Spine Radiology (ASSR) Taibo | bit.ly/47O25WA

"Clinical Outcomes and Safety Comparison of Vertebroplasty, Balloon Kyphoplasty, and Vertebral Implant for Treatment of Vertebral Compression Fractures" #CompressionFractures #OpenAccess <a href="/The_ASSR/">American Society of Spine Radiology (ASSR)</a> <a href="/taibo_li/">Taibo</a> | bit.ly/47O25WA
Daniel Sze (@danszemdphd) 's Twitter Profile Photo

Check out the renewed JVIR Blog, with new editor Peter Li! Another source of the most relevant new IR science generated by the creative and discerning IR community.

AJNR (@theajnr) 's Twitter Profile Photo

"Monoclonal Antibodies: What the Diagnostic Neuroradiologist Needs to Know" #OpenAccess #ReviewArticle #FellowsJournalClub | bit.ly/3RiHfaN

"Monoclonal Antibodies: What the Diagnostic Neuroradiologist Needs to Know" #OpenAccess #ReviewArticle #FellowsJournalClub | bit.ly/3RiHfaN
Society of Breast Imaging (@breastimaging) 's Twitter Profile Photo

Breast cancer doesn't stick to October—SBI works to educate and spread awareness throughout the year, and two survivors are hoping to expand their nonprofit Paint the Town Pink to do the same. They're building on the acts of kindness they're known for: bit.ly/470XZZR

Breast cancer doesn't stick to October—SBI works to educate and spread awareness throughout the year, and two survivors are hoping to expand their nonprofit Paint the Town Pink to do the same. They're building on the acts of kindness they're known for: bit.ly/470XZZR
AJNR (@theajnr) 's Twitter Profile Photo

"Brain Age Estimation on a Dementia Cohort Using FLAIR MRI Biomarkers" #Dementia #AI #EditorsChoice | bit.ly/3RqNdXi

"Brain Age Estimation on a Dementia Cohort Using FLAIR MRI Biomarkers" #Dementia #AI #EditorsChoice | bit.ly/3RqNdXi
AJNR (@theajnr) 's Twitter Profile Photo

"Diagnostic Value of Multiparameter MRI-Based Radiomics in Pediatric Myelin Oligodendrocyte Glycoprotein Antibody–Associated Disorders" #Radiomics #MOGAD American Society of Pediatric Neuroradiology | ajnr.org/content/44/12/…

"Diagnostic Value of Multiparameter MRI-Based Radiomics in Pediatric Myelin Oligodendrocyte Glycoprotein Antibody–Associated Disorders" #Radiomics #MOGAD <a href="/The_ASPNR/">American Society of Pediatric Neuroradiology</a> | ajnr.org/content/44/12/…
AJNR (@theajnr) 's Twitter Profile Photo

We are looking for individuals early in their career (trainee or <7 years into practice) who are committed to neuroradiology and interested in gaining in-depth experience with editorial and peer review processes. Apply by March 1, 2024. ajnr.org/content/ajnr-a…

We are looking for individuals early in their career (trainee or &lt;7 years into practice) who are committed to neuroradiology and interested in gaining in-depth experience with editorial and peer review processes.

Apply by March 1, 2024.

ajnr.org/content/ajnr-a…
Erik Middlebrooks, MD (@emiddlebrooksmd) 's Twitter Profile Photo

Thanks to Maxwell Opoku, MD for the opportunity to share my thoughts and experiences in neuroradiology and working with AJNR, the best #NeuroRad journal! The American Society of Neuroradiology American Society of Functional Neuroradiology Chat with the Editor- Dr. Middlebrooks youtu.be/yML5bAn4ZxQ?fe…

Pedram Keshavarz, MD (@pedrammd) 's Twitter Profile Photo

Thanks to Society for Advanced Body Imaging | SABI for the opportunity to present our HCC project this year. Great networking and exciting new ideas in my field of interest! #LiverCancer #HCC #Radiology

Thanks to <a href="/SABImaging/">Society for Advanced Body Imaging | SABI</a> for the opportunity to present our HCC project this year. Great networking and exciting new ideas in my field of interest! #LiverCancer #HCC #Radiology
Lea Alhilali, MD (@teachplaygrub) 's Twitter Profile Photo

Just over 2 yrs ago today, after 3 days on Twitter, I told my husband I had maxed out w/57 followers by forcing everyone I knew on Twitter to follow Then I posted my educational content & everything changed. 2 yrs later I have 60k followers. Thanks to all who supported me!

Just over 2 yrs ago today, after 3 days on Twitter, I told my husband I had maxed out w/57 followers by forcing everyone I knew on Twitter to follow  

Then I posted my educational content &amp; everything changed.  2 yrs later I have 60k followers.  Thanks to all who supported me!