Mazen Gafeer (@mazengh88) 's Twitter Profile
Mazen Gafeer

@mazengh88

Cytopathology Fellow @ Weill Cornell

ID: 909122491834085376

calendar_today16-09-2017 18:31:07

11 Tweet

33 Followers

60 Following

Israh Akhtar Khan (@israhkhan) 's Twitter Profile Photo

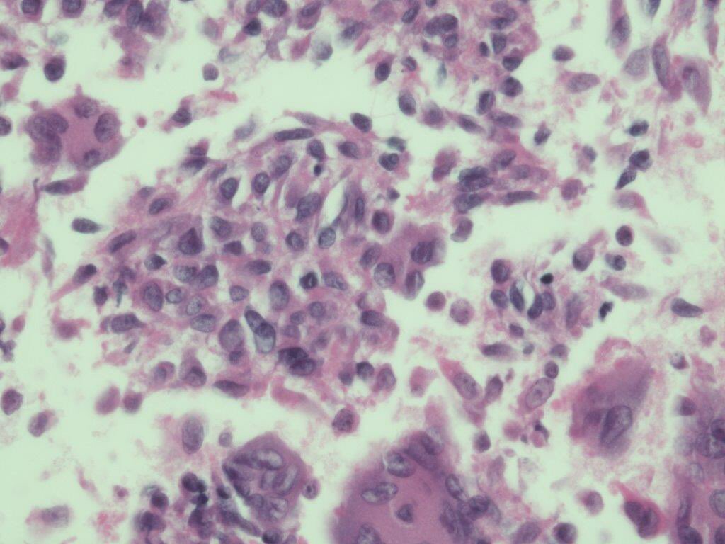
Giant cell tumor of the tendon sheath .The two components of tumor ie stromal cells and giant cells have similar nuclei . If hemosiderin laden macrophages are present ABC is in d/d #Cytopath #cytology #pathresidents #fnafriday #TemplePathology

Giant cell tumor of the tendon sheath .The two components of tumor ie stromal cells and giant cells have similar nuclei . If hemosiderin laden macrophages are present ABC is in d/d #Cytopath #cytology #pathresidents #fnafriday #TemplePathology
Israh Akhtar Khan (@israhkhan) 's Twitter Profile Photo

#breastpath Liza Quintana, MD Jenny Pincus, MD Breast Pathology ISBP #pathresidents #pathboards Classic text book picture of a mass in a young women in 20s related to pregnancy. See secretions in lumina n cytoplasmic vacuolation

#breastpath <a href="/LizaMQuintana/">Liza Quintana, MD</a> <a href="/jennpincus/">Jenny Pincus, MD</a> <a href="/BreastPathology/">Breast Pathology</a> <a href="/TheISBP/">ISBP</a> #pathresidents #pathboards Classic text book picture of a mass in a young women in 20s related to pregnancy. See secretions in lumina n cytoplasmic vacuolation