Tim McCalmont (@mccalmo) 's Twitter Profile
Tim McCalmont

@mccalmo

Consultant dermatopathologist. Dad / granddad. NYTCW addict. C8H10N4O2 lover. You should be on KiKo. kikoxp.com/tim_mccalmont1

ID: 26622958

linkhttp://goldenstatedermatology.com/dermatopathology calendar_today25-03-2009 23:19:00

1,1K Tweet

1,1K Followers

337 Following

Tim McCalmont (@mccalmo) 's Twitter Profile Photo

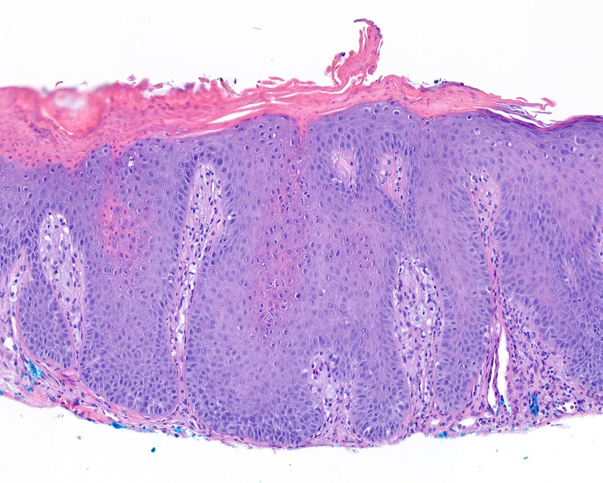
Oscar Levant said there’s a fine line between genius and insanity. There’s also a fine (pink) line between making the dx of CNH and not making the dx of CNH

Oscar Levant said there’s a fine line between genius and insanity. There’s also a fine (pink) line between making the dx of CNH and not making the dx of CNH
Tim McCalmont (@mccalmo) 's Twitter Profile Photo

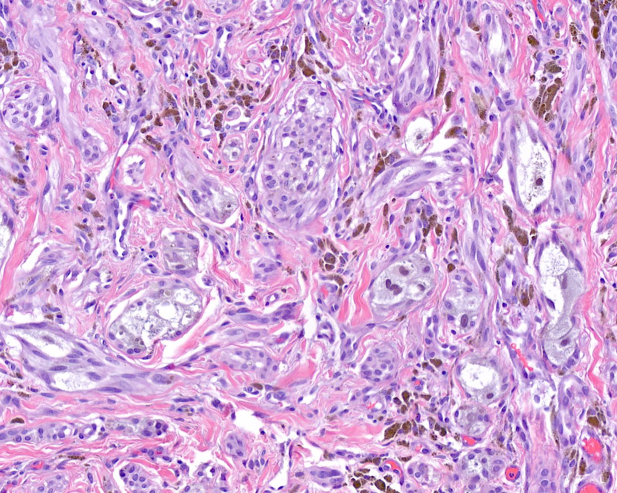
Fifth Dimension dermpath: Up-up and away in my beautiful balloon — my beautiful ALK-fused pigmented Spitz nevus with ballon cell change, that is…

Fifth Dimension dermpath: Up-up and away in my beautiful balloon — my beautiful ALK-fused pigmented Spitz nevus with ballon cell change, that is…
Tim McCalmont (@mccalmo) 's Twitter Profile Photo

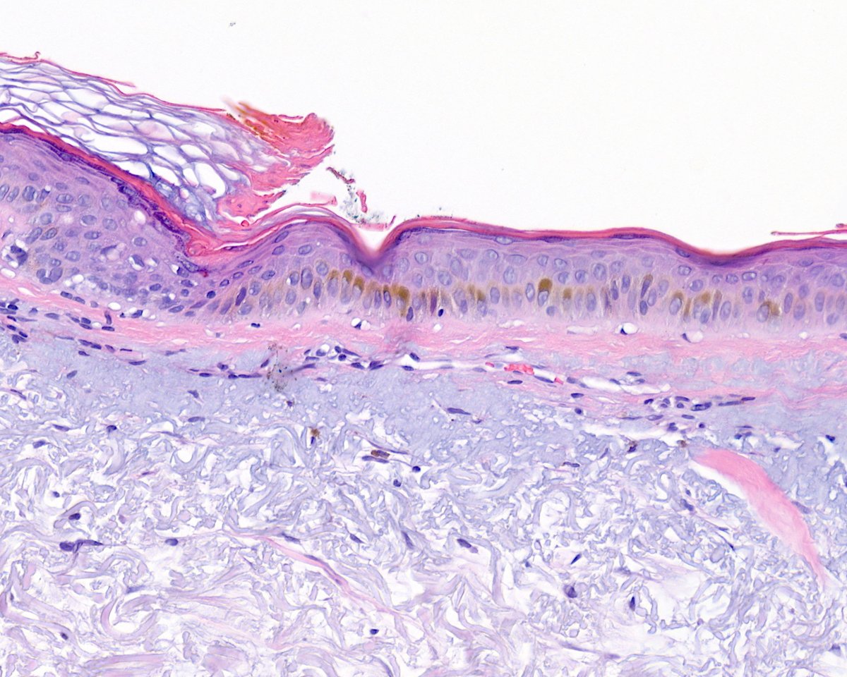
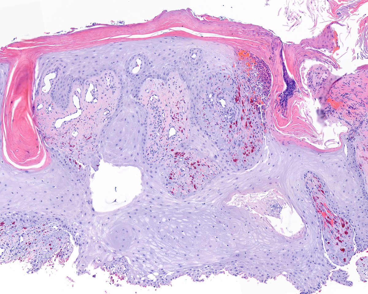
This is more of a question than an answer. Balloon cell change in an SK? Weird stuff. Just to pre-answer a potential loose end, the included SOX10 immunostain confirms that the fluffy stuff is non-melanocytic.

This is more of a question than an answer. Balloon cell change in an SK? Weird stuff. Just to pre-answer a potential loose end, the included SOX10 immunostain confirms that the fluffy stuff is non-melanocytic.
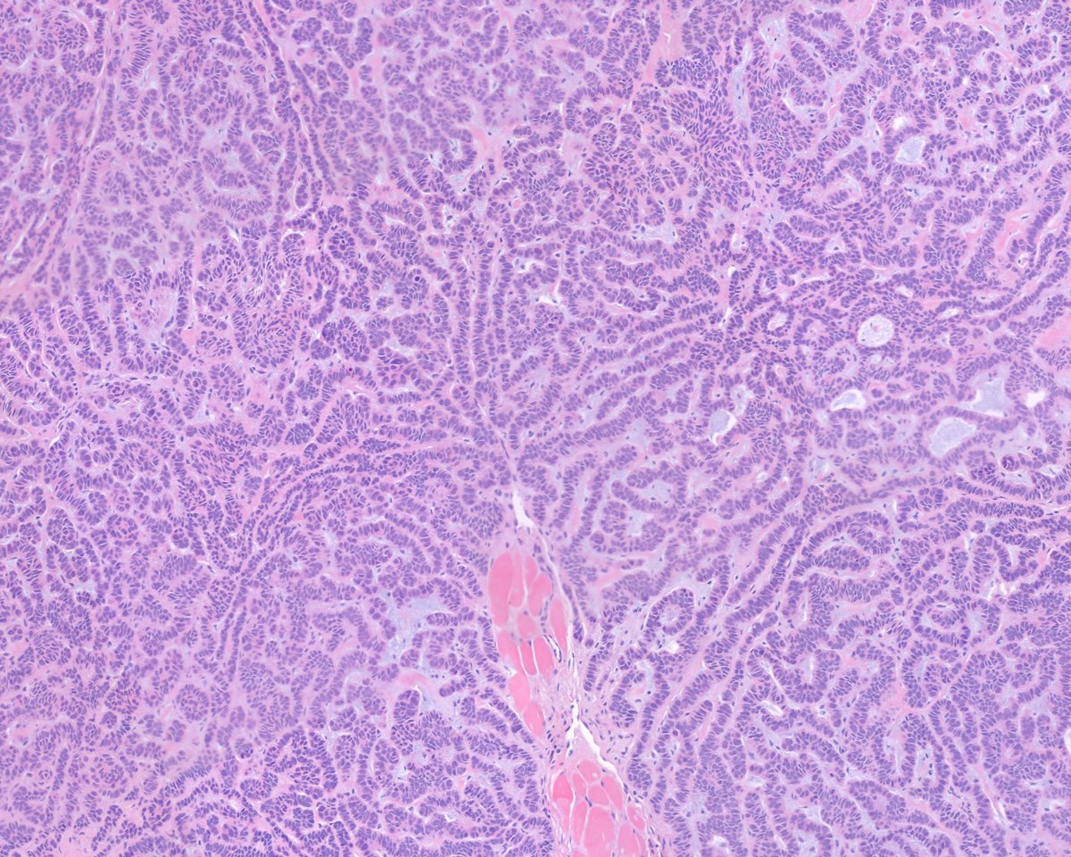
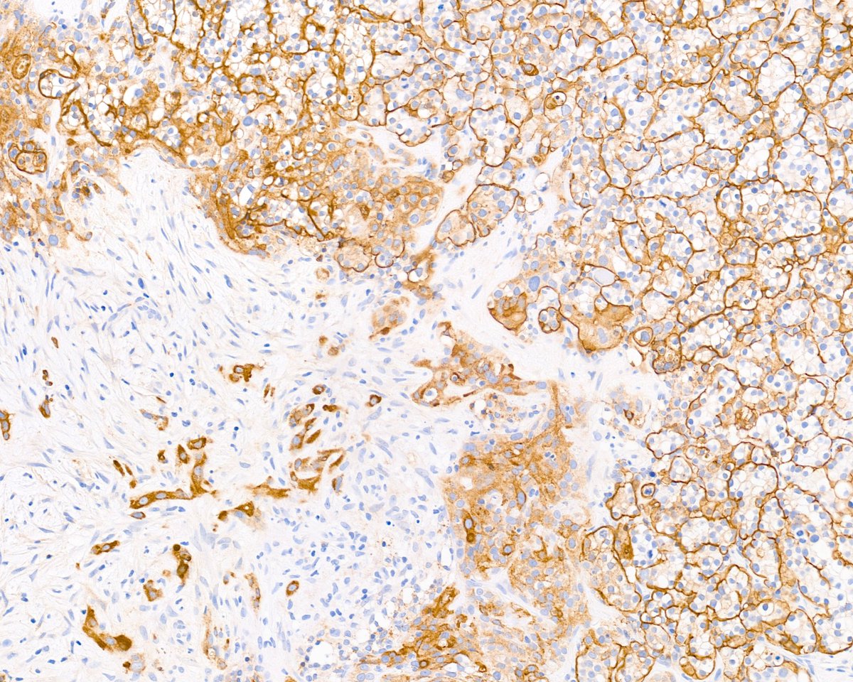
Tim McCalmont (@mccalmo) 's Twitter Profile Photo

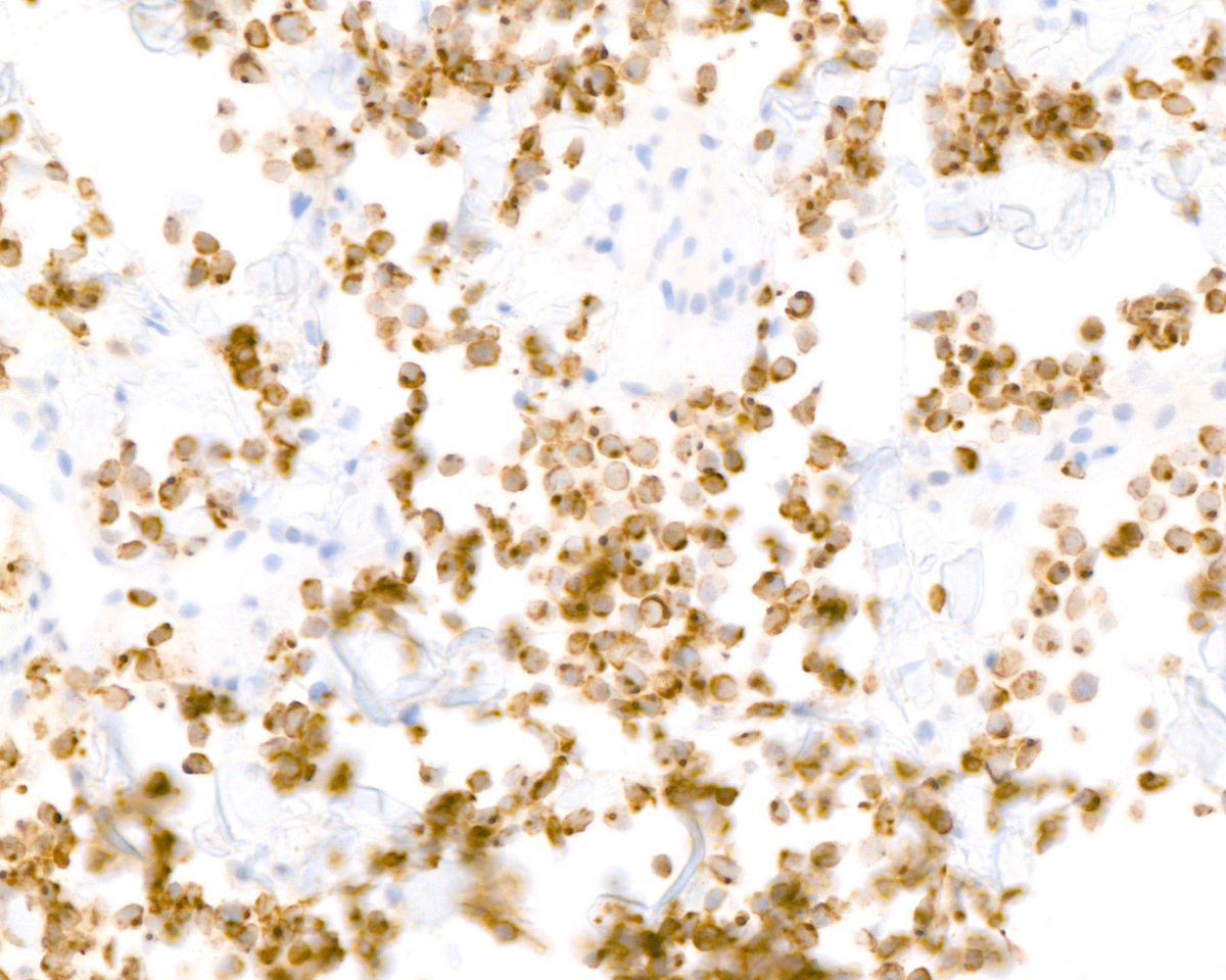
This . . . CK20 . . . immunostaining . . . pattern . . . helped . . . establish . . . the . . . diagnosis . . . of . . . Merkel . . . cell . . . carcinoma . . . status . . . post . . . hepatic . . . transplantation . . . . . . It happens. Not often.

This . . . CK20 . . . immunostaining . . . pattern . . . helped . . . establish . . . the . . . diagnosis . . . of . . . Merkel . . . cell . . . carcinoma . . . status . . . post . . . hepatic . . . transplantation . . . . . . It happens. Not often.