Tibor Mezei (@mezeitibi) 's Twitter Profile
Tibor Mezei

@mezeitibi

dad, pathologist, teacher🔬lung pathology • cytopathology

ID: 799727210114535424

calendar_today18-11-2016 21:33:19

160 Tweet

596 Followers

403 Following

Janira Navarro (@janiranavarro) 's Twitter Profile Photo

Endocervical adenocarcinoma in situ (AIS) Dr. Torous CCSP24 #pathology #pathologists #PathTwitter #PathX #pathresidents #pathfellow #cytopath #pathboards

Endocervical adenocarcinoma in situ (AIS)

Dr. Torous CCSP24 #pathology #pathologists #PathTwitter #PathX #pathresidents #pathfellow #cytopath #pathboards
Vijay Shankar S (@vijaypatho) 's Twitter Profile Photo

Morphologic Changes in Myocardial Infarction: A Microscopic Journey Illustrating histopathology is one of the best ways to teach and learn! If you're interested in drawing, try illustrating histological changes—it helps in retaining concepts better and makes learning fun. This

Morphologic Changes in Myocardial Infarction: A Microscopic Journey 

Illustrating histopathology is one of the best ways to teach and learn! If you're interested in drawing, try illustrating histological changes—it helps in retaining concepts better and makes learning fun.
This
International Academy Cytology (@iacytology) 's Twitter Profile Photo

Have you already made your travel plans for the #IACcongress? If not, arrive 1 day early on 10 May; otherwise, you'll miss the IAC One-Day Tutorial on #Cytomorphology, including Syed Z. Ali's presentation on Thyroid cytology-iac.org/iac-pre-congre…

Have you already made your travel plans for the #IACcongress? If not, arrive 1 day early on 10 May; otherwise, you'll miss the IAC One-Day Tutorial on #Cytomorphology, including <a href="/sza_jhcyto/">Syed Z. Ali</a>'s presentation on Thyroid cytology-iac.org/iac-pre-congre…
Ritu Nayar, MD (@nayarritu) 's Twitter Profile Photo

Extended HPV Genotyping and Dual Stain for triage of primary HPV screen-positive cases: Practical guidance for the cytopathology laboratory. Work done by the ACS Cervical Cancer Roundtable’s Laboratory Infrastructure Workgroup. Cancer Cytopathology Cytopathology.org ACS National Roundtable on Cervical Cancer

Extended HPV Genotyping and Dual Stain for triage of primary HPV screen-positive cases: Practical guidance for the cytopathology laboratory. Work done by the ACS Cervical Cancer Roundtable’s  Laboratory Infrastructure Workgroup. <a href="/CancerCytopath/">Cancer Cytopathology</a> <a href="/cytopathology/">Cytopathology.org</a> <a href="/cervicalRT/">ACS National Roundtable on Cervical Cancer</a>
Cytopathology (@cytopathologyj) 's Twitter Profile Photo

🤖Read about the benefits of integrating AI in medical training: An AI-assisted diagnosis group outperformed a WSI manual reading group in #cervical #cytopath exam scores after both underwent the same initial course. 🦾 ⬇️ doi.org/10.1111/cyt.13…

Sanjay Mukhopadhyay (@smlungpathguy) 's Twitter Profile Photo

Also the person who coined UIP, DIP, and many more entities in ILD. The concept that the idiopathic interstitial pneumonias can be classified histologically is also his.

Syed Z. Ali (@sza_jhcyto) 's Twitter Profile Photo

Cell "SIZE, SIZE and SIZE" is the most important feature of metastatic malignancy in CSF cytology. Comparison could be made with a lymphocyte (image 1) or a red blood cell (image 2). (Metastatic lung adenocarcinoma, cytospin)

Cell "SIZE, SIZE and SIZE" is the most important feature of metastatic malignancy in CSF cytology. Comparison could be made with a lymphocyte (image 1) or a red blood cell (image 2). (Metastatic lung adenocarcinoma, cytospin)
Sanjay Mukhopadhyay (@smlungpathguy) 's Twitter Profile Photo

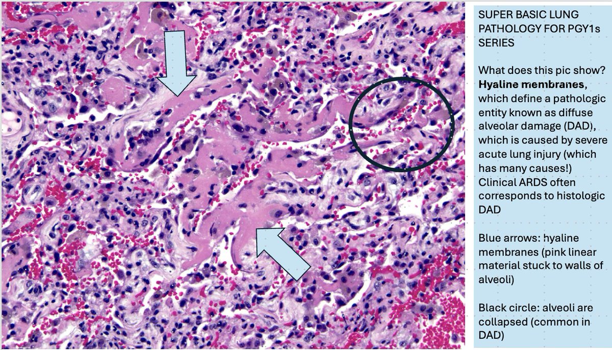
48. PGY1s: you will see this entity commonly in autopsies and occasionally in lung biopsies: it's called diffuse alveolar damage (DAD). To diagnose it, you need to know what hyaline membranes look like. They are labeled with arrows! #pathology #pulmpath #sblppgy1s

48. PGY1s: you will see this entity commonly in autopsies and occasionally in lung biopsies: it's called diffuse alveolar damage (DAD). To diagnose it, you need to know what hyaline membranes look like. They are labeled with arrows!

 #pathology #pulmpath #sblppgy1s
Sanjay Mukhopadhyay (@smlungpathguy) 's Twitter Profile Photo

Thoracic Frozen Section Pitfalls: Lung Adenocarcinoma Versus Selected Mimics | Archives of Pathology & Laboratory Medicine meridian.allenpress.com/aplm/article/1…

Tibor Mezei (@mezeitibi) 's Twitter Profile Photo

Risk of Malignancy Ranges and Category Percentage Assignment in Cytopathology Reporting Systems: Are They Useful Quality Assurance Indicators? karger.com/acy/article-ab… Zubair Baloch Great article!

Syed Z. Ali (@sza_jhcyto) 's Twitter Profile Photo

Intranuclear inclusions are created by redundancy of nuclear membrane leading to invagination/protrusion of the cell cytoplasm through the nucleus. This INCI from a cystic subtype of Papillary Thyroid CA proves that fact and even has the cytoplasmic vacuoles seen within it. (FNA)

Intranuclear inclusions are created by redundancy of nuclear membrane leading to invagination/protrusion of the cell cytoplasm through the nucleus. This INCI from a cystic subtype of Papillary Thyroid CA proves that fact and even has the cytoplasmic vacuoles seen within it. (FNA)
Tibor Mezei (@mezeitibi) 's Twitter Profile Photo

Not Enough Cells: How Insufficient Cytological Specimens Are Mirrored by Reporting Systems – Journey from the Bethesda to the WHO Reporting Systems karger.com/acy/article/do… Ivana Kholová Great article!