Mark Katory (@mkatory) 's Twitter Profile
Mark Katory

@mkatory

Colorectal Surgeon | #roboticcolorectalsurgeon @QEGateshead |Newcastle

ID: 399694213

linkhttp://www.qegateshead.nhs.uk/colorectalconsultants calendar_today27-10-2011 22:05:31

241 Tweet

646 Followers

390 Following

European Society of Coloproctology (@escp_tweets) 's Twitter Profile Photo

Clear the decks before August by making sure you've read our paper of the month for July which considers the role of the mesentery in ileocolic resection for Crohn's disease. buff.ly/2N9qMD5

Clear the decks before August by making sure you've read our paper of the month for July which considers the role of the mesentery in ileocolic resection for Crohn's disease. buff.ly/2N9qMD5
European Society of Coloproctology (@escp_tweets) 's Twitter Profile Photo

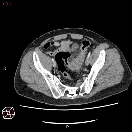
Check out this #Diverticulitis case study (with accompanying CT scan) and tell us what your preferred primary intervention would be and why! #colorectalsurgery

Check out this #Diverticulitis case study (with accompanying CT scan) and tell us what your preferred primary intervention would be and why! #colorectalsurgery
European Society of Coloproctology (@escp_tweets) 's Twitter Profile Photo

Eva Angenete (Sweden) and Johannes Schultz (Norway) provide us with the latest status report from #ESCP's #Diverticulitis Guidelines Group ⬇️

European Society of Coloproctology (@escp_tweets) 's Twitter Profile Photo

📹Monthly topic: Professor of Surgery, Marja Boermeester (Marja Boermeester), delivered a presentation on the management of acute #diverticulitis at #ESCP2017 in Berlin. Check out a snippet below! Full session is available to ESCP members here: bit.ly/2yKexIn

European Society of Coloproctology (@escp_tweets) 's Twitter Profile Photo

The Guideline Committee invites you to give feedback on new draft Guidelines for Haemorrhoidal Disease by 1 February 2019. More info 👇 buff.ly/2T64WU0 buff.ly/2EK3YZv