Razwan Mohammed (@optimusroze) 's Twitter Profile
Razwan Mohammed

@optimusroze

Divisional Manager & Head of Communities, Love #Health #Youth #Community #Leadership #MBA, avid #UFC #MUFC #Cricket and #Boxing fan (views are my own)

ID: 363459783

linkhttps://www.linkedin.com/profile/view?id=118817363 calendar_today28-08-2011 03:39:26

3,3K Tweet

909 Followers

2,2K Following

Your Health Oldham (@yholdham) 's Twitter Profile Photo

We have Frank Rothwell - Alzheimer's Research UK supporting us tonight in giving out Stop Smoking information. We have had some great conversations with the fans too. Razwan Mohammed #Stoptober #MakeSmokingHistory Stop smoking and good things happen

We have <a href="/Frank_Rothwell/">Frank Rothwell - Alzheimer's Research UK</a> supporting us tonight in giving out Stop Smoking information.  
We have had some great conversations with the fans too. <a href="/optimusROZE/">Razwan Mohammed</a> #Stoptober #MakeSmokingHistory 

Stop smoking and good things happen
The Spectator Index (@spectatorindex) 's Twitter Profile Photo

BREAKING: Palestinian ambassador to the UN says 'for millions of Palestinians, there is no home to go back to' and asks, 'why do some feel so much pain for Israelis and so little pain for us? What is the problem? Do we have the wrong faith, the wrong skin color, the wrong

Owen Jones (@owenjonesjourno) 's Twitter Profile Photo

This is what colonisation has always done to the coloniser. To justify and rationalise the oppression of an entire people, you have to dehumanise them. In the process, it strips away the humanity of the occupier, with nauseating manifestations, like this.

Oldham Council (@oldhamcouncil) 's Twitter Profile Photo

This month is #IslamophobiaAwarenessMonth. We all have the right to practice our religion. If someone has been violent or aggressive towards you because of your beliefs, that's not acceptable. Report this as a #hatecrime and don't suffer in silence. oldham.gov.uk/hatecrime.

This month is #IslamophobiaAwarenessMonth.  We all have the right to practice our religion. If someone has been violent or aggressive towards you because of your beliefs, that's not acceptable. Report this as a #hatecrime and don't suffer in silence. 

oldham.gov.uk/hatecrime.
Benjamin Bikman (@benbikmanphd) 's Twitter Profile Photo

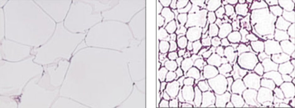
How we store fat matters more than how much fat we store. This idea emphasizes the importance of the size of each individual fat cell, rather than the total mass of the fat. This image compares fat cell size of South Asian men (left) and Caucasian men (right). Note the incredible

How we store fat matters more than how much fat we store. This idea emphasizes the importance of the size of each individual fat cell, rather than the total mass of the fat. This image compares fat cell size of South Asian men (left) and Caucasian men (right). Note the incredible
Channel 4 Dispatches (@c4dispatches) 's Twitter Profile Photo

“All I see is destruction.” Hind Khoudary is a Palestinian journalist reporting from Gaza. Over 200 days, Hind and other Palestinian journalists filmed Israel’s military assault on the Gaza strip for a Channel 4 Dispatches special - made by basement films.

Naomi Warne 🍉 (@naomiwarne) 's Twitter Profile Photo

Everyday we’re appalled, sickened, furious, helpless. Seeing it condensed into 1 hour like that, I’ve no words. I just hope people who haven’t been bothered, didn’t understand or didn’t care for months now see what we have been protesting for. #Dispatches Kill Zone: Inside Gaza

Tim McCullagh🇦🇫 (@timonther6) 's Twitter Profile Photo

Need a clean. But I promised I’d never wear these again. I’ll defend the mosque in belfast tomorrow with these on show. Hate is not welcome in our big city.

Need a clean.  But I promised I’d never wear these again.  

I’ll defend the mosque in belfast tomorrow with these on show.  

Hate is not welcome in our big city.
Andrew Feinstein (@andrewfeinstein) 's Twitter Profile Photo

It’s not just Tommy Robinson & Nigel Farage’s naked racism that has led to the Islamophobic riots in Britain, but also Rishi Sunak & Keir Starmer’s slightly more subtle Islamophobia too. Never forget Sunak’s repulsive diatribe outside 10 Downing Street or Starmer’s Bangladeshi

African, Caribbean and Asian Lawyers For Justice (@bamefor) 's Twitter Profile Photo

A🧵on #RaceRiot Sunday. As a Black community we always knew that when the white working class figured out they were lied to over Brexit their impotence would result in them blaming Muslims. Blacks, asylum seekers anyone but the ruling class and the bankers. So said, so done.

Stand Up To Racism (@antiracismday) 's Twitter Profile Photo

BREAKING: screenshots of far right group chats reveal fascists using N word and P word, and talk of hanging Yvette Cooper. These are the fascist thugs who have been rioting in the last week. Join us to build a movement to oppose them on the streets and stop them

BREAKING: screenshots of far right group chats reveal fascists using N word and P word, and talk of hanging Yvette Cooper.

These are the fascist thugs who have been rioting in the last week. Join us to build a movement to oppose them on the streets and stop them
Runnymede Trust (@runnymedetrust) 's Twitter Profile Photo

.BBC insisting on reporting racist rioters as 'protestors' and 'demonstrators' is a gross misrepresentation of the violence impacting communities of colour across the UK. Language matters.

Adam Kelwick (@adamkelwick) 's Twitter Profile Photo

THIS IS HUGE! After hearing about our response to the protests in Liverpool, one of the people who attended the "save our children" rally reached out to me and asked if I would join him for a coffee. I obliged, of course. He reassured me that he and his people were there out of

THIS IS HUGE!

After hearing about our response to the protests in Liverpool, one of the people who attended the "save our children" rally reached out to me and asked if I would join him for a coffee. I obliged, of course. He reassured me that he and his people were there out of
Narinder Kaur (@narindertweets) 's Twitter Profile Photo

The home of free speech turns out to be a hater of Muslims. Research exposes how news channel's coverage of Muslims is "toxic", "obsessive", "risks inciting violence,"

The home of free speech turns out to be a hater of Muslims.

Research exposes how news channel's coverage of Muslims is "toxic", "obsessive", "risks inciting violence,"
Kevin Pietersen🦏 (@kp24) 's Twitter Profile Photo

Another football World Cup in the Middle East - BRILLIANT! It’ll be another tournament just like Qatar, where boys, girls, mums and dads can go and enjoy the festival without hooliganism! I loved the Qatar experience!

Catherine Russell (@unicefchief) 's Twitter Profile Photo

2024 has been one of the worst years on record for children impacted by conflict. This cannot be the new normal. As we look towards 2025, we must do more to turn the tide and save and improve the lives of children.👇 unicef.org/press-releases…