Ngoc-Nhu Jennifer Nguyen (@patholojenmd) 's Twitter Profile
Ngoc-Nhu Jennifer Nguyen

@patholojenmd

Anatomical Pathology PGY4 @UofT | MD @UMontreal | PARO General Council Representative | @Pathologists Residents Forum Delegate | 🏐🎾⛰️📷

ID: 1411804347680309253

calendar_today04-07-2021 21:49:31

122 Tweet

191 Followers

344 Following

Ziad El-Zaatari (@ziad_zaatari) 's Twitter Profile Photo

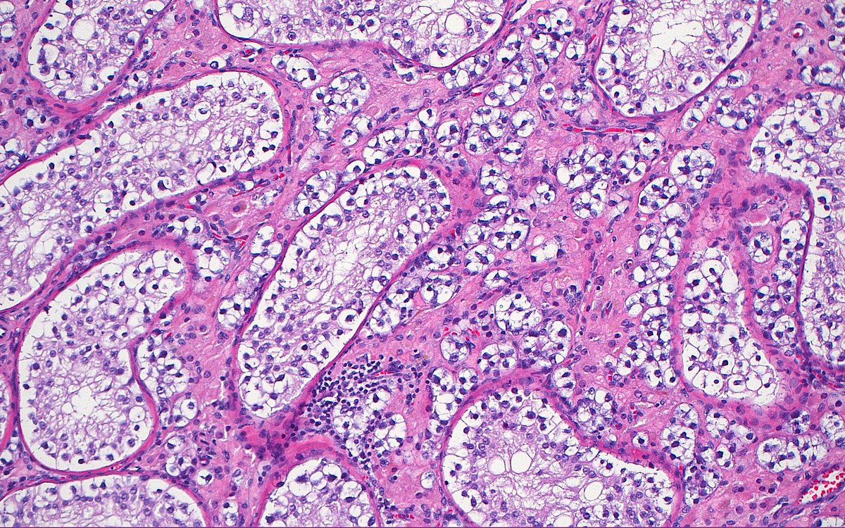
🔬~ Acquired Cystic Kidney Disease Associated Renal Cell Carcinoma ~ (All 6 pictures in below 🧵from the same case!) #GUpath #KidneyTumors #Pathology #Urology (1/6): Intratumoral Calcium Oxalate Crystals

🔬~ Acquired Cystic Kidney Disease Associated Renal Cell Carcinoma ~ (All 6 pictures in below 🧵from the same case!)  #GUpath #KidneyTumors #Pathology #Urology 

(1/6): Intratumoral Calcium Oxalate Crystals
Zahra Maleki, MD, MIAC (@zmaleki_cyto) 's Twitter Profile Photo

IHC and GPS seem parallel to me. It is hard to imagine life without them. They both help to take us to our destination however, we should know where the destination is. PHOX2B highlights metastatic neuroblastoma in bone of a kid. #CytoPro International Academy Cytology European Society of Pathology (ESP) #cytology

IHC and GPS seem parallel to me. It is hard to imagine life without them. They both help to take us to our destination however, we should know where the destination is.  PHOX2B highlights metastatic neuroblastoma in bone of a kid.  #CytoPro  <a href="/IACytology/">International Academy Cytology</a> <a href="/ESP_Pathology/">European Society of Pathology (ESP)</a> #cytology
Andres Matoso (@andres_matoso) 's Twitter Profile Photo

Basaloid squamous cell carcinoma can mimic urothelial carcinoma, so it's crucial to identify the overlying benign urothelium. While IHC for p16 is not helpful in distinguishing between the two, HPV-HR ISH, if positive, is diagnostic of squamous cell carcinoma. #GUpath

Basaloid squamous cell carcinoma can mimic urothelial carcinoma, so it's crucial to identify the overlying benign urothelium. While IHC for p16 is not helpful in distinguishing between the two, HPV-HR ISH, if positive, is diagnostic of squamous cell carcinoma. #GUpath
Ngoc-Nhu Jennifer Nguyen (@patholojenmd) 's Twitter Profile Photo

Have you ever seen intratesticular fat? See below the first study assessing the frequency of intratesticular adipose tissue - a potential pitfall when staging testicular malignancies. Supervisor: Dr. Sangoi Ankur Sangoi Stanford Pathology pubmed.ncbi.nlm.nih.gov/39911022/

Ankur Sangoi (@slusagar) 's Twitter Profile Photo

#GUpath orchiectomy: "intertubular" pattern seminoma (OCT4 on left) 🔪taken (grossly unremarkable) away from larger grossly dominant seminoma uncommonly, PURE "intertubular" seminoma can occur & be a Dx pitfall! ✔️recent study by Seema Kaushal Dr. Sambit K. Mohanty & colleagues

#GUpath orchiectomy:

"intertubular" pattern seminoma (OCT4 on left)

🔪taken (grossly unremarkable) away from larger grossly dominant seminoma 

uncommonly, PURE "intertubular" seminoma can occur &amp; be a Dx pitfall!

✔️recent study by <a href="/DrSeemaKaushal/">Seema Kaushal</a> <a href="/SAMBITKMohanty1/">Dr. Sambit K. Mohanty</a> &amp; colleagues
Ngoc-Nhu Jennifer Nguyen (@patholojenmd) 's Twitter Profile Photo

CaRMS match ranking deadline is approaching soon… here is why Pathology should be your #1 choice. ;) Now PGY4 Department of Laboratory Medicine & Pathobiology, and still proud & no regret for having ranked Pathology as my top 1 among other very different specialties I have applied and interviewed in! #PathMatch

Ankur Sangoi (@slusagar) 's Twitter Profile Photo

current and future #GUpath fellows gathering at #USCAP2025 (sorry Ngoc-Nhu Jennifer Nguyen you couldn’t make it in person! btw I ordered you cappuccino) Stanford Pathology GU🔬family is bright with these young all-stars

current and future #GUpath fellows gathering at #USCAP2025 

(sorry <a href="/patholojenMD/">Ngoc-Nhu Jennifer Nguyen</a> you couldn’t make it in person! btw I ordered you cappuccino)

<a href="/StanfordPath/">Stanford Pathology</a> GU🔬family is bright with these young all-stars
Samson W. Fine, MD (@rovingatuscap) 's Twitter Profile Photo

Illustration of von Brunn nests in upper tract...tend to be smaller and either closely aligned or horizontally / linearly aligned to overlying urothelium - can occasionally present a diagnostic dilemma, esp. in small specimens, as highlighted here: pubmed.ncbi.nlm.nih.gov/12960809/ #gupath

Illustration of von Brunn nests in upper tract...tend to be smaller and either closely aligned or horizontally / linearly aligned to overlying urothelium - can occasionally present a diagnostic dilemma, esp. in small specimens, as highlighted here: pubmed.ncbi.nlm.nih.gov/12960809/ #gupath
Samson W. Fine, MD (@rovingatuscap) 's Twitter Profile Photo

Coarse eosinophilic granules (so-called 'Paneth-like') can be seen in all grades of #prostatecancer #gupath Unlike true Paneth cells [GI tract], these cells are neuroendocrine marker (+), do NOT contain lysozyme

Coarse eosinophilic granules (so-called 'Paneth-like') can be seen in all grades of #prostatecancer #gupath

Unlike true Paneth cells [GI tract], these cells are neuroendocrine marker (+), do NOT contain lysozyme
Gladell Paner, MD (@gladellpaner) 's Twitter Profile Photo

Let’s do IHC for #OnePicDx! 🔍 Based on PIN4 staining, what is your diagnosis on this #prostate neoplasm? a. Acinar adenocarcinoma b. Prostatic intraepithelial neoplasia (PIN) c. Ductal adenocarcinoma d. PIN-like carcinoma Answer in comment 👇👇👇 #GUPath

Let’s do IHC for #OnePicDx! 🔍

Based on PIN4 staining, what is your diagnosis on this #prostate neoplasm? 

a. Acinar adenocarcinoma
b. Prostatic intraepithelial neoplasia (PIN)
c. Ductal adenocarcinoma
d. PIN-like carcinoma

Answer in comment 👇👇👇 #GUPath
Jason L. Hornick, M.D., Ph.D. (@jlhornick) 's Twitter Profile Photo

Very pleased to share an online piece brought to you by the CAP Personalized Health Care Committee. By Dr. Maria Del Carmen Rodriguez Pena and yours truly. IHC in soft tissue tumor pathology! cap.org/member-resourc… #PathTwitter #molpath #surgpath #BSTpath CAPathologists

Ngoc-Nhu Jennifer Nguyen (@patholojenmd) 's Twitter Profile Photo

Excited to begin my final year of residency in Diagnostic and Molecular Pathology (Anatomical Pathology) at University of Toronto, and honoured to serve as a Chief Resident from July to December. Grateful for the opportunity, and looking forward to continued learning and collaboration!

Liang Cheng, MD (@liangchengmd) 's Twitter Profile Photo

Interesting case to share  (Board question): What's your diagnosis for this 3.3 cm renal tumor from a 42-year-old man? Vimentin, SMA, CD34, and CD10 are positive. Electron microscopy reveals electron-dense, rhomboid-shaped crystals in the cytoplasm.

Interesting case to share  (Board question): What's your diagnosis for this 3.3 cm renal tumor from a 42-year-old man? Vimentin, SMA, CD34, and CD10 are positive. Electron microscopy reveals electron-dense, rhomboid-shaped crystals in the cytoplasm.