Sameer Raniga (@samrad77) 's Twitter Profile
Sameer Raniga

@samrad77

Radiologist. Trauma and Emergency Radiology. One view is NO view. #radtwitter | #FOAMrad | #radres | #radEd| #radiology | #EmergencyRad

ID: 1265038364

linkhttps://scholar.google.com/citations?user=Wht4M6wAAAAJ&hl=en calendar_today13-03-2013 17:45:22

10,10K Tweet

18,18K Followers

4,4K Following

Sameer Raniga (@samrad77) 's Twitter Profile Photo

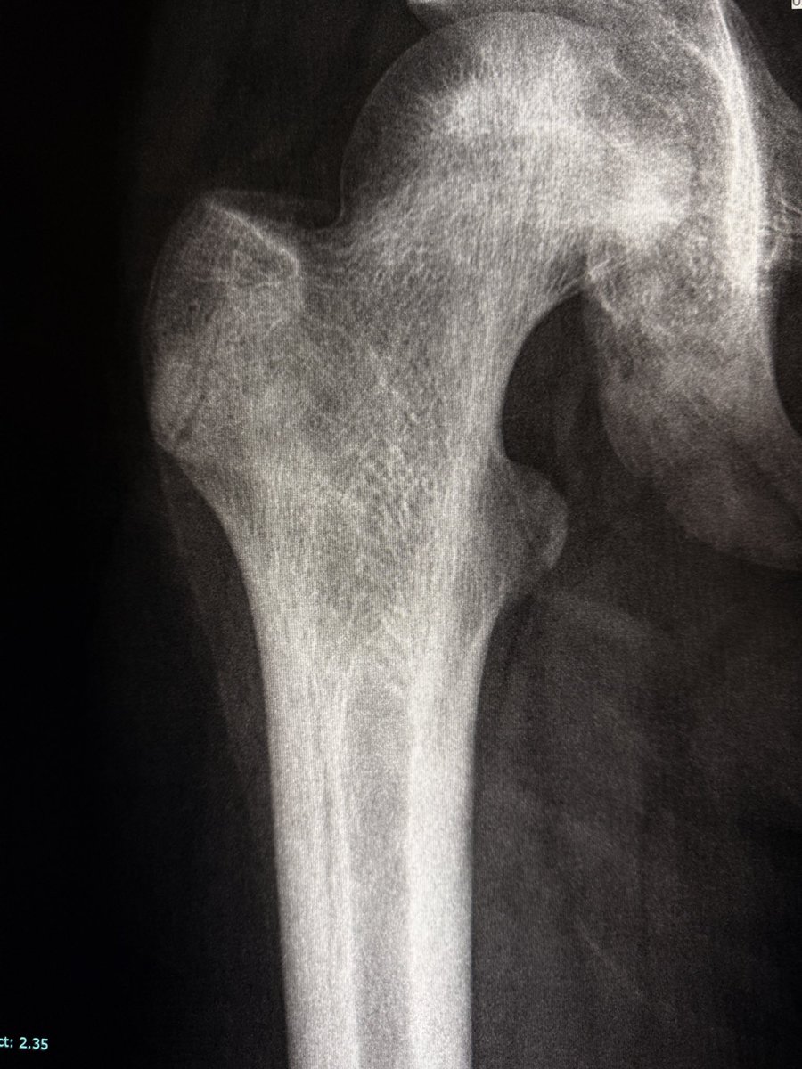
“Bone within bone” appearance of proximal femoral diaphysis in sickle cell disease. This appearance is due to chronic medullary bone infarction with a sclerotic rim (reflecting the new bone formed around old infarctions). The lucent rim between the cortex and the medullary

“Bone within bone” appearance of proximal femoral diaphysis in sickle cell disease. 

This appearance is due to chronic medullary bone infarction with a sclerotic rim (reflecting the new bone formed around old infarctions). 

The lucent rim between the cortex and the medullary
Sameer Raniga (@samrad77) 's Twitter Profile Photo

Life is mostly froth and bubble. Two things stand like stone. Kindness in another's trouble, Courage in your own. -Adam Lindsay Gordon

Sameer Raniga (@samrad77) 's Twitter Profile Photo

Double contour sign! It is a sonographic sign specific for gouty arthritis. Why does it occur? In gout, monosodium urate crystals deposit on the surface of the hyaline cartilage within the joint. This results in two distinct echogenic lines: 1.Deep line = normal

Double contour sign! 

It is a sonographic sign specific for gouty arthritis. 

Why does it occur?

In gout, monosodium urate crystals deposit on the surface of the hyaline cartilage within the joint. 

This results in two distinct echogenic lines:

1.Deep line = normal
Sameer Raniga (@samrad77) 's Twitter Profile Photo

Tell me which is your favorite radiographic projection and why it is axillary view of the shoulder? 😅 Majestic! I have a soul crush on this view!

Tell me which is your favorite radiographic projection and why it is axillary view of the shoulder? 😅

Majestic! I have a soul crush on this view!
Dr Navarro (@docnavarrow) 's Twitter Profile Photo

🚨A 28-year-old woman becomes comatose after sudden headache and vomiting. No history of trauma; previously healthy except for episodic migraines. Intraventricular hemorrhage is identified on initial imaging. 🕵️What could underlie this presentation in this young patient?

🚨A 28-year-old woman becomes comatose after sudden headache and vomiting. No history of trauma; previously healthy except for episodic migraines. Intraventricular hemorrhage is identified on initial imaging.

🕵️What could underlie this presentation in this young patient?
Sameer Raniga (@samrad77) 's Twitter Profile Photo

By three methods we may learn wisdom: First, by reflection, which is noblest; Second, by imitation, which is easiest; and third by experience, which is the bitterest. —Confucius

Sameer Raniga (@samrad77) 's Twitter Profile Photo

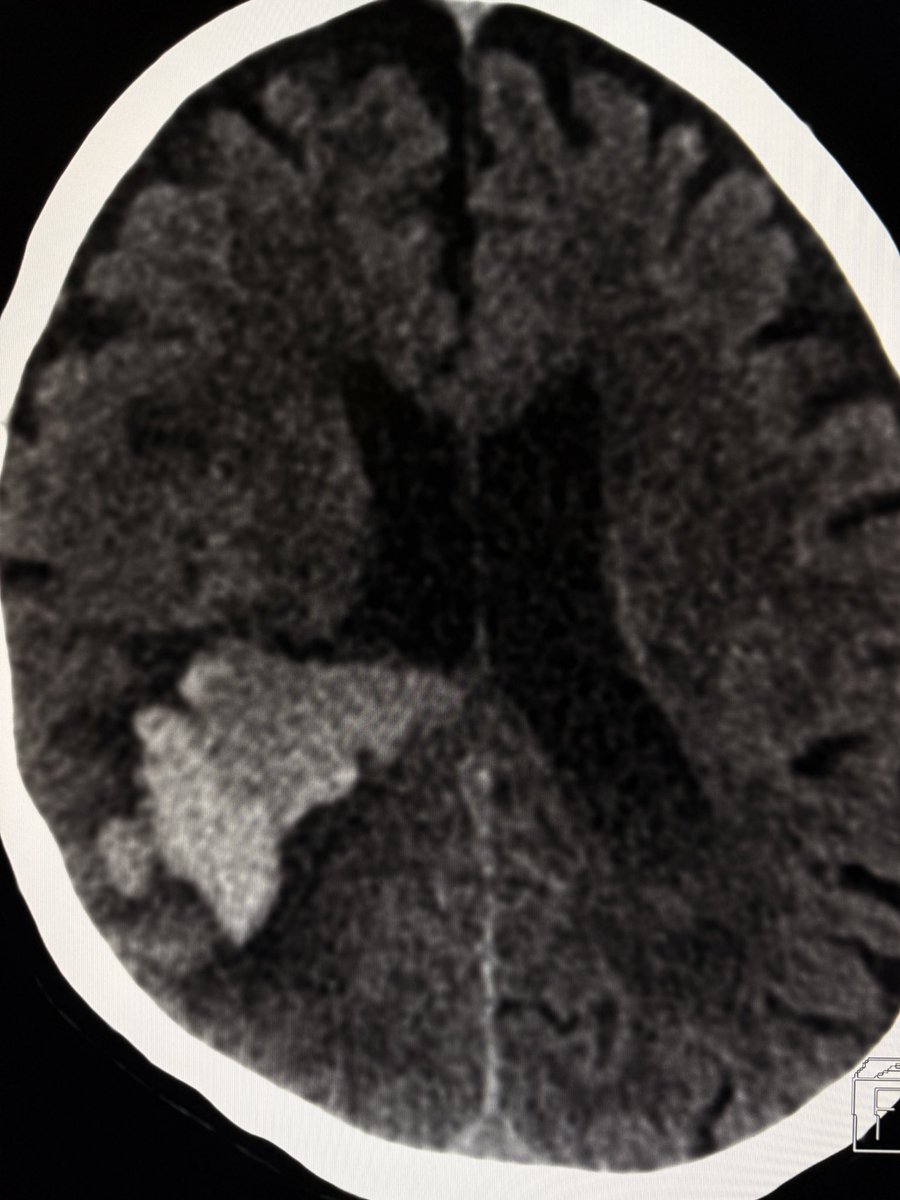
Layering or hematocrit level or differential density within an acute intraparenchymal bleed on CT? Think: 1. coagulopathy 2. anticoagulants 3. Tumor-related bleed 4. evolving /expanding hematoma with active bleed. —On-call pearls from my reporting list

Layering or hematocrit level or differential density within an acute intraparenchymal bleed on CT?

Think: 1. coagulopathy  2. anticoagulants 3. Tumor-related bleed 4. evolving /expanding hematoma with active bleed.

—On-call pearls from my reporting list
Sameer Raniga (@samrad77) 's Twitter Profile Photo

Nothing fancy today! This is just a classic case with an elevated posterior fat pad (also called the “posterior fat pad sign”) on an elbow X-ray, with an ultrasound to back it up. —Classic signs in radiology from my reporting list

Nothing fancy today! 

This is just a classic case with an elevated posterior fat pad (also called the “posterior fat pad sign”) on an elbow X-ray, with an ultrasound to back it up.

—Classic signs in radiology from my reporting list
Sameer Raniga (@samrad77) 's Twitter Profile Photo

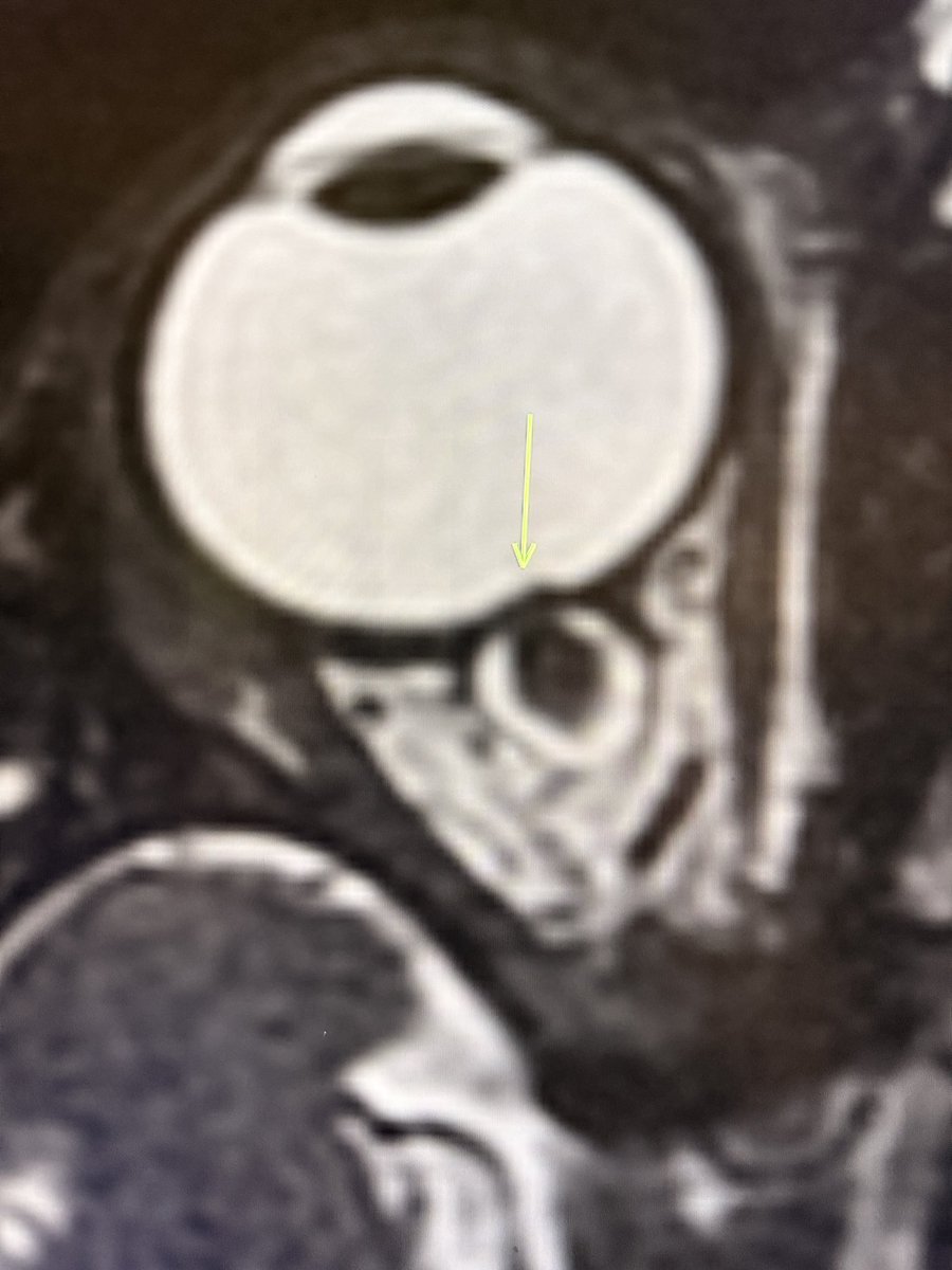
Nothing fancy today! Just a classic case of papilledema on MRI: 1. Flattened posterior sclera 2. Protrusion of the optic nerve head (bulging into the globe) —Classic signs from my reporting list

Nothing fancy today!

Just a classic case of papilledema on MRI:

1. Flattened posterior sclera
2. Protrusion of the optic nerve head (bulging into the globe)

—Classic signs from my reporting list