Rajiv M. Patel, M.D. (@skinandsoftbits) 's Twitter Profile
Rajiv M. Patel, M.D.

@skinandsoftbits

Dermatopathologist & Soft Tissue Tumor Pathologist
Cutaneous Pathology, WCP Labs Inc.

ID: 1491869638103220225

calendar_today10-02-2022 20:28:18

45 Tweet

134 Followers

208 Following

Dr. Victor Prieto (@vgprieto14) 's Twitter Profile Photo

#USCAP2023 dr. Lazcano from our sarcoma group, presenting our experience on UPS treated with immuno therapy and radiation therapy.

#USCAP2023 dr. Lazcano from our sarcoma group, presenting our experience on UPS treated with immuno therapy and radiation therapy.
Dr. Victor Prieto (@vgprieto14) 's Twitter Profile Photo

#ISDP2023 Second day of an excellent meeting. Started with the second part of the discussion of SELF assessment Course. Great cases indeed

#ISDP2023 Second day of an excellent meeting. Started with the second part of the discussion of SELF assessment Course. Great cases indeed
Pathology Journal (@pathology_rcpa) 's Twitter Profile Photo

✏️Did you know that SATB2 can be expressed in some primary cutaneous sarcomatoid neoplasms, such as AFXs and even melanomas? ⚠️Common SATB2 expression in this setting could pose a potential diagnostic pitfall. 👇Find out more below. pathologyjournal.rcpa.edu.au/article/S0031-… #BSTpath #Dermpath

✏️Did you know that SATB2 can be expressed in some primary cutaneous sarcomatoid neoplasms, such as AFXs and even melanomas?

⚠️Common SATB2 expression in this setting could pose a potential diagnostic pitfall.

👇Find out more below.

pathologyjournal.rcpa.edu.au/article/S0031-…

#BSTpath #Dermpath
Professor Richard Scolyer AO (@profrascolyer) 's Twitter Profile Photo

Amazing 2 meet truly inspiring & remarkable nominees 4 NSW in 2024 AusoftheYearAwards at Gov’t House. Each incredible Australians & worthy winners in their category. Tough job 4 judges but can’t go wrong I reckon! Winners announced tonight 6-9pm live streamed: australianoftheyear.org.au

Amazing 2 meet truly inspiring &amp; remarkable nominees 4 NSW in 2024 <a href="/ausoftheyear/">AusoftheYearAwards</a> at Gov’t House. Each incredible Australians &amp; worthy winners in their category. Tough job 4 judges but can’t go wrong I reckon! Winners announced tonight 6-9pm live streamed:

australianoftheyear.org.au
Melanoma Institute Australia (@melanomaaus) 's Twitter Profile Photo

Congrats to Professor Georgina Long AO (Bluesky @gvlongphdmd) & @ProfRScolyer, tonight jointly named 2024 NSW AusoftheYearAwards. What an incredible & inspiring group of nominees. Award is testament to Richard & Georgina’s dedication to life-saving cancer research & treatment, for melanoma & now brain cancer. So proud!

Congrats to <a href="/ProfGLongMIA/">Professor Georgina Long AO (Bluesky @gvlongphdmd)</a> &amp; @ProfRScolyer, tonight jointly named 2024 NSW <a href="/ausoftheyear/">AusoftheYearAwards</a>. What an incredible &amp; inspiring group of nominees. Award is testament to Richard &amp; Georgina’s dedication to life-saving cancer research &amp; treatment, for melanoma &amp; now brain cancer. So proud!
Pathology Journal (@pathology_rcpa) 's Twitter Profile Photo

Delighted to see Pathology Journal Editor-in-Chief @ProfRScolyerMIA named NSW's 2024 Australian of the Year, with colleague Professor Georgina Long AO (Bluesky @gvlongphdmd). The award recognises their extraordinary work in #melanomaresearch, and drive to continue innovating in #cancer research and treatment.

Delighted to see <a href="/Pathology_RCPA/">Pathology Journal</a> Editor-in-Chief @ProfRScolyerMIA named NSW's 2024 Australian of the Year, with colleague <a href="/ProfGLongMIA/">Professor Georgina Long AO (Bluesky @gvlongphdmd)</a>. The award recognises their extraordinary work in #melanomaresearch, and drive to continue innovating in #cancer research and treatment.
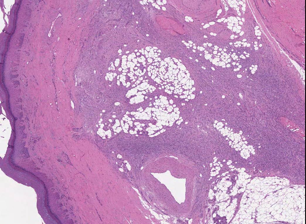
Rajiv M. Patel, M.D. (@skinandsoftbits) 's Twitter Profile Photo

Subcutaneous Leiomyosarcoma: An Aggressive Malignancy... : The American Journal of Surgical Pathology journals.lww.com/ajsp/abstract/…

emerse (@projectemerse) 's Twitter Profile Photo

A team at Michigan used EMERSE to identify cases of subcutaneous leiomyosarcoma in what they described as the "largest series of subcutaneous LMS thus far reported in the literature" Hailey Gosnell, MD Jennifer Ko Christina Angeles MD Steven Billings, MD Rajiv M. Patel, M.D. journals.lww.com/ajsp/abstract/…

A team at Michigan used EMERSE to identify cases of subcutaneous leiomyosarcoma in what they described as the "largest series of subcutaneous LMS thus far reported in the literature"  <a href="/PathDrGoz/">Hailey Gosnell, MD</a> <a href="/JenniferKo79/">Jennifer Ko</a> <a href="/cvangelesMD/">Christina Angeles MD</a> <a href="/SteveBillingsMD/">Steven Billings, MD</a> <a href="/skinandsoftbits/">Rajiv M. Patel, M.D.</a> journals.lww.com/ajsp/abstract/…
USCAP (@theuscap) 's Twitter Profile Photo

USCAP was saddened to learn of the passing of Dr. Christopher D.M. Fletcher. Dr. Fletcher was an exceptional and innovative pathologist who dedicated many years in service to USCAP, including serving as President. He will be missed both personally and professionally.

USCAP was saddened to learn of the passing of Dr. Christopher D.M. Fletcher. Dr. Fletcher was an exceptional and innovative pathologist who dedicated many years in service to USCAP, including serving as President. He will be missed both personally and professionally.