Jamir Pitton Rissardo (@theneurolander) 's Twitter Profile
Jamir Pitton Rissardo

@theneurolander

MD 🇧🇷 @UFSM_oficial @CooperNeuroRes | Neurology 🧠 | Writer ✍️ | Reviewer | Illustrator | Guitarist ♬🎸 World J Clin Cases editorial board member.

ID: 1463924644986163205

linkhttps://linktr.ee/jamirrissardo calendar_today25-11-2021 17:36:57

4,4K Tweet

22,22K Followers

7,7K Following

Michael Okun (@michaelokun) 's Twitter Profile Photo

Can you get dystonic tremor w/ Fragile X-Associated Tremor/Ataxia Syndrome? You bet you can as we will go over today @VUMCneurology Movement Course. Timely paper out today by Garcia-Campos MD Movement Disorders Clinical Practice. Key Points: - Fragile X-associated tremor/ataxia syndrome adult-onset

Dr Kish Mankad (@drmankad) 's Twitter Profile Photo

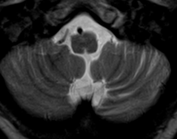
Tip of the day 💡: The “out of focus picture” type of contrast enhancement is a feature of astrocytic tumors. In this case, a pilocytic astrocytoma of the posterior fossa.

Tip of the day 💡: The “out of focus picture” type of contrast enhancement is a feature of astrocytic tumors. In this case, a pilocytic astrocytoma of the posterior fossa.
Jamir Pitton Rissardo (@theneurolander) 's Twitter Profile Photo

Prévost sign! aka Vulpian sign "conjugate eye deviation in patients with acute stroke" Jean Louis Prévost Swiss physician (1838-1927) - hemispheric stroke eyes deviate ipsilaterally towards the stroke (i.e. contralateral to the hemiparesis) 2/2 frontal eye fields involvement

Prévost sign!

aka Vulpian sign

"conjugate eye deviation in patients with acute stroke"

Jean Louis Prévost
Swiss physician (1838-1927)

- hemispheric stroke eyes deviate ipsilaterally towards the stroke (i.e. contralateral to the hemiparesis) 2/2 frontal eye fields involvement
Rohit Sharma (@piandro3142) 's Twitter Profile Photo

Nice Radiopaedia.org case from Dr Nuñez of sulcal artery syndrome: radiopaedia.org/cases/sulcal-a… - Unilateral limb weakness - MRI: short-segment T2/DWI high signal, anterolateral cord, respecting midline - Short-segment because successive sulcal arteries generally alternate left and right

Nice <a href="/Radiopaedia/">Radiopaedia.org</a> case from Dr Nuñez of sulcal artery syndrome: radiopaedia.org/cases/sulcal-a…
- Unilateral limb weakness
- MRI: short-segment T2/DWI high signal, anterolateral cord, respecting midline
- Short-segment because successive sulcal arteries generally alternate left and right
Michael Okun (@michaelokun) 's Twitter Profile Photo

Have you ever seen centripetal nystagmus with blindness? 'No spontaneous nystagmus in primary position. Each lateral gaze induces centripetal nystagmus comprising left-beating nystagmus during rightward gaze and right-beating nystagmus during leftward gaze.' Drs Oh, Choi, Choi

Jamir Pitton Rissardo (@theneurolander) 's Twitter Profile Photo

Gratiolet canal Louis Pierre Gratiolet (1815-1850) French anatomist Anterior commissure tube > thin layer grey matter circumferentially covers white matter fibers of anterior commissure *allows a route for basal ganglia hemorrhage to track to the contralateral side

Gratiolet canal

Louis Pierre Gratiolet (1815-1850) 
French anatomist

Anterior commissure tube
&gt; thin layer grey matter circumferentially covers white matter fibers of anterior commissure

*allows a route for basal ganglia hemorrhage to track to the contralateral side
Fred Lepore (@fredlepore) 's Twitter Profile Photo

1/Neuro-ophth basics "As students, we had to learn about Gratiolet's optic radiation" JMS Pearce Gratiolet first showed the connection between subcortical visual centers/lat. gen. n and cerebral cortex nicely dissected in 1857 What happened to the eponym ...

1/Neuro-ophth basics
"As students, we had to learn about Gratiolet's optic radiation" JMS Pearce
Gratiolet first showed the connection between subcortical visual centers/lat. gen. n and cerebral cortex nicely dissected in 1857
What happened to the eponym ...
Dr Kish Mankad (@drmankad) 's Twitter Profile Photo

Tip of the day 💡: Even if it is hard to appreciate progressive fronto-insular atrophy in Rasmussen's Encephalitis, look out for similar progressive atrophy in the cerebellum with corresponding diaschisis. There's a clue!

Tip of the day 💡: Even if it is hard to appreciate progressive fronto-insular atrophy in Rasmussen's Encephalitis, look out for similar progressive atrophy in the cerebellum with corresponding diaschisis. There's a clue!
Andreas Charidimou MD, PhD (@a_charidimou) 's Twitter Profile Photo

-->🎨After popular demand from my 🇫🇷 colleagues: 🌃🩸"The Starry Night interpretation into Cerebral Amyloid Angiopathy hemorrhagic signatures" (kudos Thanakit Pongpitakmetha, MD, MSc (getcud) who originally spotted this!) 🙏 Patricio Sandoval for the ⭕️v-w-v observation! #Starynight Vincent van Gogh #vincentvangogh

--&gt;🎨After popular demand from my 🇫🇷 colleagues:

🌃🩸"The Starry Night interpretation into Cerebral Amyloid Angiopathy hemorrhagic signatures"

(kudos <a href="/getcud/">Thanakit Pongpitakmetha, MD, MSc (getcud)</a> who originally spotted this!)
🙏 <a href="/neuropuc/">Patricio Sandoval</a> for the ⭕️v-w-v observation!

#Starynight <a href="/vangoghartist/">Vincent van Gogh</a> #vincentvangogh
Michael Okun (@michaelokun) 's Twitter Profile Photo

Should we be worried about the falsification of data by NIH Professor Masliah particularly on preclinical models that supported the development of prasinezumab for Parkinson's disease. Really nicely done article which shows several of the manipulated images. "Researchers

Should we be worried about the falsification of data by NIH Professor Masliah particularly on preclinical models that supported the development of prasinezumab for Parkinson's disease.  Really nicely done article which shows several of the manipulated images. 
"Researchers
Neurophilia (@bobvarkey) 's Twitter Profile Photo

Is it hard to remember the branches of the Middle cerebral artery? With Stroke, forming a large part of emergency neurology services and the advent of mechanical thrombectomy, it is important to know the branches of MCA. Fortunately, simple tricks will help you remember these

Is it hard to remember the branches of the Middle cerebral artery? With Stroke, forming a large part of emergency neurology services and the advent of mechanical thrombectomy, it is important to know the branches of MCA. Fortunately, simple tricks will help you remember these
Fluoroquinolone Toxicity Study (@fq_100) 's Twitter Profile Photo

Something feels off - you’re twitching, jerking, stumbling, or struggling with coordination, and no one can explain why. If you've taken Cipro (ciprofloxacin), levofloxacin, or Avelox (moxifloxacin), it might not be a coincidence. Most people never think twice about the

Medicina MDPI (@mdpimedicina) 's Twitter Profile Photo

#mdpimedicina #highlycitedpaper 📰 Drug-Induced Myoclonus: A Systematic Review 👍 Citations 4 | 👀 14551 views 🧑🏻‍⚕️ By Dr. Jamir Pitton Rissardo et al. 🔗 brnw.ch/21wUJPy #Myoclonus #neurotoxicity #encephalopathy Jamir Pitton Rissardo

#mdpimedicina #highlycitedpaper
📰 Drug-Induced Myoclonus: A Systematic Review
👍 Citations 4  | 👀 14551 views
🧑🏻‍⚕️ By Dr. Jamir Pitton Rissardo et al.
🔗 brnw.ch/21wUJPy

#Myoclonus #neurotoxicity #encephalopathy <a href="/theneurolander/">Jamir Pitton Rissardo</a>