Tianyu Zhao, PhD, MBA (@tyzhao) 's Twitter Profile
Tianyu Zhao, PhD, MBA

@tyzhao

Professor and Vice Chair of Medical Physics, Radiation Oncology
Tempa General Hosptial &
Morsani College of Medicine, University of South Florida

ID: 48382525

linkhttps://radonc.wustl.edu/faculty/tianyu-zhao-phd/ calendar_today18-06-2009 15:25:53

24 Tweet

99 Followers

107 Following

Tianyu Zhao, PhD, MBA (@tyzhao) 's Twitter Profile Photo

A mobile helical CT scanner provides 3D volumetric imaging for image-guided and adaptive proton therapy physicsworld.com/a/mobile-ct-sc…

Tianyu Zhao, PhD, MBA (@tyzhao) 's Twitter Profile Photo

Together with its clinical partners in Europe and the US, Siemens Healthineers is focusing on translational research and technology innovation to drive continuous improvement in the planning, delivery and management of proton therapy for cancer patients physicsworld.com/a/exploiting-d…

WashU Medicine Radiation Oncology (@washumedradonc) 's Twitter Profile Photo

Congratulations to Dr. Yao Hao yao for his grant award from NIH - $1.98M over 2 yrs - w/ Tianyu Zhao, PhD, MBA & Sarah Patch, PhD "Thermoacoustic Range Verification During Delivery of a Clinical Plan by a Synchrocyclotron: transition from research prototype to turnkey clinical device"

Congratulations to Dr. Yao Hao <a href="/haoyaofsh/">yao</a> for his grant award from <a href="/NIH/">NIH</a> - $1.98M over 2 yrs - w/ <a href="/tyzhao/">Tianyu Zhao, PhD, MBA</a> &amp; Sarah Patch, PhD

"Thermoacoustic Range Verification During Delivery of a Clinical Plan by a Synchrocyclotron: transition from research prototype to turnkey clinical device"
WashU Medicine Radiation Oncology (@washumedradonc) 's Twitter Profile Photo

We were honored to have Heng Li, PhD as our S. Lee Kling #ProtonTherapy Center Visiting Professor today Siteman Cancer Center. Great tech & innovation overview of Johns Hopkins Proton Therapy Center. #MedPhys #radonc

We were honored to have Heng Li, PhD as our S. Lee Kling #ProtonTherapy Center Visiting Professor today <a href="/SitemanCenter/">Siteman Cancer Center</a>.  Great tech &amp; innovation overview of Johns Hopkins Proton Therapy Center. 
#MedPhys #radonc
ASTRO (@astro_org) 's Twitter Profile Photo

Simulation free radiotherapy (SF-RT) is an emerging treatment paradigm for patients requiring palliative radiotherapy. In this matched cohort study, SF-RT improved time to plan generation compared to CT-simulated radiotherapy. Joshua Schiff @WashURadOnc bit.ly/3Tr7ZVU

Simulation free radiotherapy (SF-RT) is an emerging treatment paradigm for patients requiring palliative radiotherapy. In this matched cohort study, SF-RT improved time to plan generation compared to CT-simulated radiotherapy. <a href="/JoshuaSchiffMD/">Joshua Schiff</a> @WashURadOnc bit.ly/3Tr7ZVU
WashU Medicine Radiation Oncology (@washumedradonc) 's Twitter Profile Photo

We are excited to welcome Dr. Surbhi Grover as our esteemed speaker for the Todd Wasserman Memorial Lectureship in #radonc. Dr. Grover helps address the global cancer burden thru public health endeavors & cost-effective clinical initiatives in developing countries, esp Botswana.

We are excited to welcome Dr. Surbhi Grover as our esteemed speaker for the Todd Wasserman Memorial Lectureship in #radonc. Dr. Grover helps address the global cancer burden thru public health endeavors &amp; cost-effective clinical initiatives in developing countries, esp Botswana.
WashU Medicine Radiation Oncology (@washumedradonc) 's Twitter Profile Photo

Stephanie M. Perkins, MD, accomplished expert in pediatric & #ProtonTherapy radiation, has been named the S. Lee Kling Endowed Chair in Radiation Oncology at The Foundation for Barnes-Jewish. Article here: bit.ly/3QS2rps Siteman Cancer Center BJC HealthCare

Stephanie M. Perkins, MD, accomplished expert in pediatric &amp; #ProtonTherapy radiation, has been named the S. Lee Kling Endowed Chair in Radiation Oncology at The Foundation for <a href="/BarnesJewish/">Barnes-Jewish</a>.
Article here: bit.ly/3QS2rps

<a href="/SitemanCenter/">Siteman Cancer Center</a> <a href="/BJC_HealthCare/">BJC HealthCare</a>
Uganda Cancer Institute (@ugandacancerins) 's Twitter Profile Photo

GOOD NEWS UGANDA: We have launched VMAT treatment modality(high end treatment) with experts from Washington University & Baylor College of Medicine. This will greatly improve the turn around time & reduce referrals abroad. #FightCancerUg #CancerIsCurable

GOOD NEWS UGANDA: We have launched VMAT treatment modality(high end treatment) with experts from Washington University &amp; Baylor College of Medicine. This will greatly improve the turn around time &amp; reduce referrals abroad. 
#FightCancerUg 
#CancerIsCurable
Mevion Medical (@mevionmedical) 's Twitter Profile Photo

Mevion's Dr. Lionel Bouchet recently sat down with Dr. Stephanie Perkins, Director of the S. Lee Kling Proton Therapy Center, and Chief of the Pediatric Radiotherapy Service at Test Account to discuss the proton therapy program at Siteman Cancer Center: hubs.la/Q020W3lT0

Uganda Cancer Institute (@ugandacancerins) 's Twitter Profile Photo

Addressing journalists this morning, Dr Jackson Orem and a team of clinicians unveil new treatment modalities on the newly installed true beam linear accelerators. The machines started operations today with each able to treat 90patients a day. #FightCancerUg

Addressing journalists this morning, Dr <a href="/JacksonOrem/">Jackson Orem</a> and a team of clinicians unveil new treatment modalities on the newly installed true beam linear accelerators. The machines started operations today with each able to treat 90patients a day. 
#FightCancerUg
Uganda Cancer Institute (@ugandacancerins) 's Twitter Profile Photo

Tomorrow on UCI CME virtual lecture series: Dr. Kavuma Awusi, the Principal Medical Physicist will be discussing the use of AI in Radiotherapy. Don't Miss!!! #FightCancerUg #SeptemberGold

Tomorrow on UCI CME virtual lecture series: Dr. Kavuma Awusi, the Principal Medical Physicist will be discussing the use of AI in Radiotherapy. 
Don't Miss!!! 
#FightCancerUg 
#SeptemberGold
Bin Cai (@bincaimedphys) 's Twitter Profile Photo

No surprise this article clinched the top spot as the most cited paper in IJROBP - The Red Journal of 2022🥇! It's both highly educational and a joy to read. 🤓📖 I strongly recommend everyone, especially trainees, in the #RadOnc community to give it a go! UTSW Radiation Oncology

No surprise this article clinched the top spot as the most cited paper in <a href="/IJROBP/">IJROBP - The Red Journal</a> of 2022🥇! It's both highly educational and a joy to read. 🤓📖 I strongly recommend everyone, especially trainees, in the #RadOnc community to give it a go!  <a href="/UTSW_RadOnc/">UTSW Radiation Oncology</a>
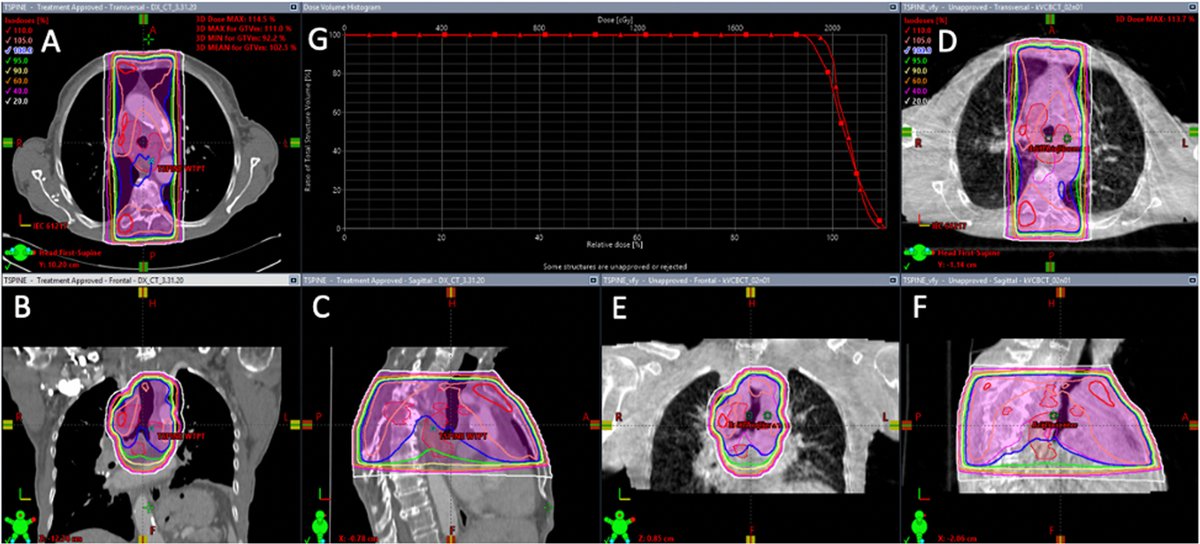
Allen Mo (@allenmomdphd) 's Twitter Profile Photo

First patient treated on our adaptive proton trial today❗ Thank you to this patient and Drs. Zhang, Liu, Zhao, Kim, Perkins and the rest of the adaptive radiation team @WashURadOnc for making this happen! Siteman Cancer Center #adaptiveRT #radonc

First patient treated on our adaptive proton trial today❗ Thank you to this patient and Drs. Zhang, Liu, Zhao, Kim, Perkins and the rest of the adaptive radiation team @WashURadOnc for making this happen! <a href="/SitemanCenter/">Siteman Cancer Center</a> #adaptiveRT #radonc
Tianyu Zhao, PhD, MBA (@tyzhao) 's Twitter Profile Photo

I have started a new position as the Vice Chair of Medical Physics, Radiation Oncology, at Tampa General Hospital. I look forward to working with everyone to build a cohesive team dedicated to patient care and committed to education and innovation for the future of radiotherapy.