Muhammad Hussain, MD (@whosainastro) 's Twitter Profile
Muhammad Hussain, MD

@whosainastro

PGY3 Chief Resident @Templepathology 🔬🦠 #MolecularPathology 🧬 #Hematopathology 💉🔬Astronomy 🌌🚀🛰🔭📡 History 🏛🏰🏚 Photography 📸🖼

ID: 753306955

calendar_today12-08-2012 15:31:23

1,1K Tweet

3,3K Followers

1,1K Following

Anirban Maitra (@aiims1742) 's Twitter Profile Photo

Very excited to share our preprint on #AI directed Deep Visual Proteomics (DVP) on #PancreaticCancer precursor lesions (PanINs), in collaboration with OmicVision Andreas Mund Thousands of proteins from as few as ~100 precisely microdissected cells in archival samples!

Very excited to share our preprint on #AI directed Deep Visual Proteomics (DVP) on #PancreaticCancer precursor lesions (PanINs), in collaboration with <a href="/OmicVision/">OmicVision</a> <a href="/MundAndreas/">Andreas Mund</a> 
Thousands of proteins from as few as ~100 precisely microdissected cells in archival samples!
Sanam Loghavi, MD صنم لغوی 🔬🧬 (@sanamloghavi) 's Twitter Profile Photo

🚨 New paper! 🚨 brnw.ch/21wTSQI myeloid neoplasms w/ a data-driven twist! 📊 Our latest in Blood Cancer Discovery addresses classification gaps in the 🌎 of myeloid neoplasms 🧵 led by  Curtis Lachowiez in collaboration w/Elli Papaemmanuil, PhD Elsa Bernard & a huge team of amazing friends

🚨 New paper! 🚨  brnw.ch/21wTSQI
myeloid neoplasms w/ a data-driven twist! 📊 Our latest in <a href="/BCD_AACR/">Blood Cancer Discovery</a> addresses classification gaps in the 🌎 of myeloid neoplasms 🧵 
led by  <a href="/CLachowiez/">Curtis Lachowiez</a> in collaboration w/<a href="/PapaemmanuilLab/">Elli Papaemmanuil, PhD</a>  <a href="/Elsa2Bernard/">Elsa Bernard</a> &amp; a huge team of amazing friends
Hao Yin (@haoyin20) 's Twitter Profile Photo

#SpatialOmics Spatial-DMT Co-profiling spatial #DNAMethylome #Transcriptome🤠 Enzymatic Methyl-seq (pooling 5mC 5hmC) >100k CpG, >1k gene per 10-μm pixel Mapping mCG & mCH & transcription factors Chin Nien Lee Wanding Zhou Yanxiang Deng bioRxiv 2025 biorxiv.org/content/10.110…

#SpatialOmics

Spatial-DMT
Co-profiling spatial #DNAMethylome #Transcriptome🤠

Enzymatic Methyl-seq (pooling 5mC 5hmC)

&gt;100k CpG, &gt;1k gene per 10-μm pixel

Mapping mCG &amp; mCH &amp; transcription factors

<a href="/ChinNLee2021/">Chin Nien Lee</a> <a href="/zhouwanding/">Wanding Zhou</a> <a href="/DengYanxiang/">Yanxiang Deng</a> bioRxiv 2025
biorxiv.org/content/10.110…
Weill Cornell Medicine Pathology (@wcmcpathology) 's Twitter Profile Photo

Don't miss the Front Line Genomics interview with Weill Cornell Medicine Pathology's Dr. Anna S. Nam (Anna Nam) about the #genetic and non-genetic drivers of #cancer, and the benefits of using a single-cell #multiomics approach to investigate these factors. frontlinegenomics.com/anna-nam/

Don't miss the <a href="/FLGenomics/">Front Line Genomics</a> interview with <a href="/WCMCPathology/">Weill Cornell Medicine Pathology</a>'s Dr. Anna S. Nam (<a href="/AnnaEnim/">Anna Nam</a>) about the #genetic and non-genetic drivers of #cancer, and the benefits of using a single-cell #multiomics approach to investigate these factors.

frontlinegenomics.com/anna-nam/
Leonie Beauchamp, M.D. (@loniebeauchamp) 's Twitter Profile Photo

🧵 5 things I’ve learned along the way (and keep learning) No matter where you are in your career, some lessons only come with time, trial and reflection. Here are 5 things that continue to shape how I work, teach, and grow. #MedTwitter #PathTwitter #Mentorship

Anirban Maitra (@aiims1742) 's Twitter Profile Photo

This is a wonderful review in Trends in Cancer on extrachromosomal DNA (ecDNA) from the best in the field, & it’s #OpenAccess. Extrachromosomal DNA: shaping the evolutionary dynamics of cancer cell.com/trends/cancer/… Mischel Lab Charles Swanton Benjamin Werner

This is a wonderful review in <a href="/trendscancer/">Trends in Cancer</a> on extrachromosomal DNA (ecDNA) from the best in the field, &amp; it’s #OpenAccess. 
Extrachromosomal DNA: shaping the evolutionary dynamics of cancer
cell.com/trends/cancer/…
<a href="/mischellab/">Mischel Lab</a> <a href="/CharlesSwanton/">Charles Swanton</a> <a href="/BenjaminWerner_/">Benjamin Werner</a>
Muhammad Ahsan Gill (@ahsanuitis) 's Twitter Profile Photo

📣 Each month, our team of screening judges selects a standout tweet from the trainee category for the #PathTweetAward. 📅 For June 2025, the winner is: 🏆 Muhammad Hussain, MD 👏 Congratulations on making an impact across #PathTwitter!

Muhammad Hussain, MD (@whosainastro) 's Twitter Profile Photo

Wow! what an honor ✨ Thank you to the Educational Pathology Tweet Award team and the incredible #PathTwitter community. Grateful to be part of a space that celebrates learning, curiosity, and connection. Excited to keep sharing and growing with you all! 🧬🔬💙

Sanam Loghavi, MD صنم لغوی 🔬🧬 (@sanamloghavi) 's Twitter Profile Photo

Looking forward to our Women in Heme meeting in November, with sessions on novel diagnostics and therapy in myeloid neoplasms, lymphoid neoplasms and myeloma PLUS career development and mentorship!!! Join us!! #hemepath

Kamran Mirza MD PhD - کامران مرزا (@kmirza) 's Twitter Profile Photo

Dear #hemepath peeps! Looking for some images for a bone marrow atlas we are working on. Will credit you for the contribution! Need: H&E and some IHCs for intravascular large B cell lymphoma and and NK-LGLL in the bone marrow. Please DM me a note if you don't have my email

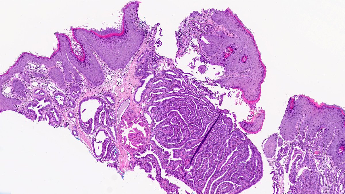
Raza Hoda MD (@razahoda) 's Twitter Profile Photo

Case of Nipple Adenoma 🔬 Nipple adenoma is a benign proliferative epithelial process of the superficial lactiferous ducts that may erode the overlying squamous epithelium. #PathX #PathTwitter #breastpath

Case of Nipple Adenoma 🔬

Nipple adenoma is a benign proliferative epithelial process of the superficial lactiferous ducts that may erode the overlying squamous epithelium. 

#PathX #PathTwitter #breastpath
Anirban Maitra (@aiims1742) 's Twitter Profile Photo

Possibly the most comprehensively sequenced #PancreaticCancer cell line of all time! Development and extensive sequencing of a broadly-consented Genome in a Bottle matched tumor-normal pair nature.com/articles/s4159…

Possibly the most comprehensively sequenced #PancreaticCancer cell line of all time!
Development and extensive sequencing of a broadly-consented Genome in a Bottle matched tumor-normal pair 
nature.com/articles/s4159…
Dina Zenezan,MD (@dzenezan) 's Twitter Profile Photo

First week down on FNA clinic service at MGH! I couldn’t let it pass without sharing a special moment—my first US-guided FNA 😄 Huge thanks to my teacher of the week, Dr. Amy Ly for guidance! Check out my slide do you think it's good enough to diagnose this neck mass? 😉#CytoPath

First week down on FNA clinic service at MGH! I couldn’t let it pass without sharing a special moment—my first US-guided FNA 😄
Huge thanks to my teacher of the week, Dr. Amy Ly for guidance! Check out my slide do you think it's good enough to diagnose this neck mass? 😉#CytoPath
Sanam Loghavi, MD صنم لغوی 🔬🧬 (@sanamloghavi) 's Twitter Profile Photo

Out today in ⁦Leukemia Journal⁩ Our study of Erythroid-predominant MDS with distinct genotypes and associated with prognostic and therapeutic implications. #MDSsm #hemepath ⁦Guillermo Montalban-Bravo⁩ Alex Bazinet, ⁦ nature.com/articles/s4137…

Celina Stayerman MD (@ariella8) 's Twitter Profile Photo

#PathTweetAward #PathTweetAward2025 #IHC Apologies for the delay on my end—but here I am ,finally giving my shot -out to our pathology trainee post of the month! Congratulations to the winner for great work Muhammad Hussain, MD 👏👏👏👏👏