Zeina Alabbas | زينــة العباس (@xenaalabbas) 's Twitter Profile
Zeina Alabbas | زينــة العباس

@xenaalabbas

Pathologist | 🇸🇾

ID: 3009323143

calendar_today03-02-2015 14:17:37

3,3K Tweet

904 Followers

1,1K Following

Gladell Paner, MD (@gladellpaner) 's Twitter Profile Photo

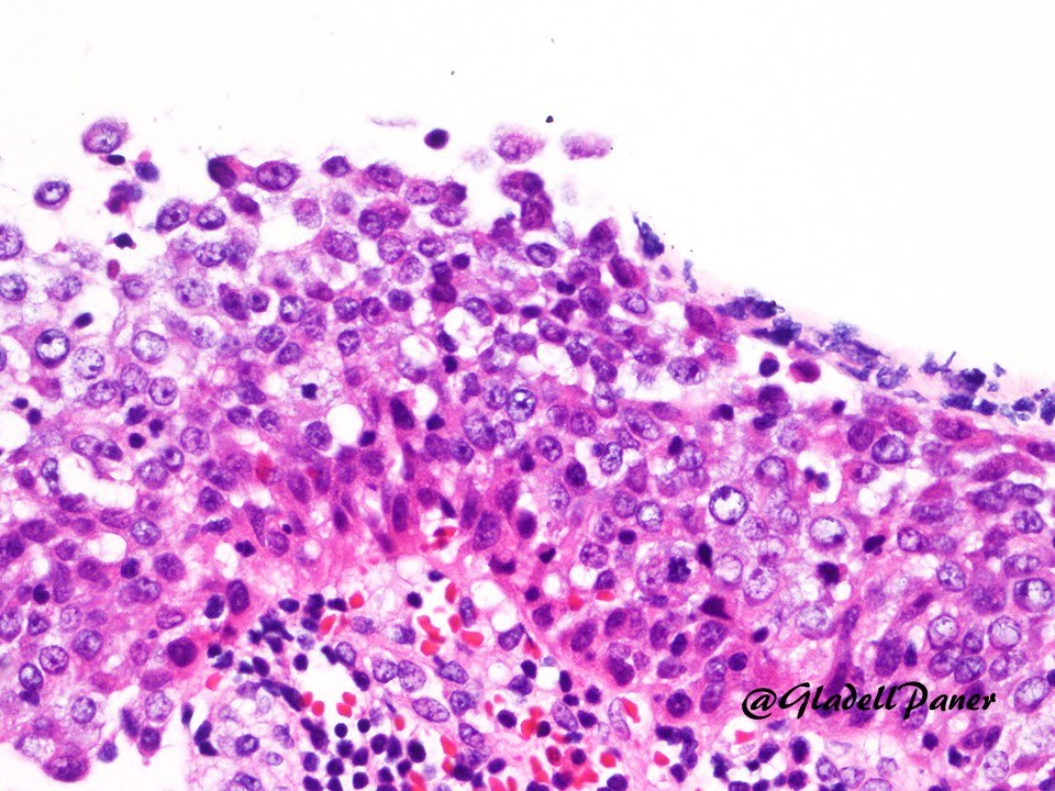
How does CK20 immunostain helps in diagnosing Urothelial Carcinoma in Situ? 👉 Full thickness staining. Reactive urothelium will be positive only in surface umbrella cells or completely negative. #Bladder #GUPath

How does CK20 immunostain helps in diagnosing Urothelial Carcinoma in Situ?

👉 Full thickness staining.

Reactive urothelium will be positive only in surface umbrella cells or completely negative. #Bladder #GUPath
Syed Z. Ali (@sza_jhcyto) 's Twitter Profile Photo

"Tricky Trich" - Trichomonas Vaginalis is harder to identify when overlapping/clinging to squamous cells. (SurePath, PAP Test)

"Tricky Trich" - Trichomonas Vaginalis is harder to identify when overlapping/clinging to squamous cells. (SurePath, PAP Test)
Tania Labiano (@tlabiano) 's Twitter Profile Photo

🩷🔬Lovely corpora amylacea of lung. 💦🫁Seen in bronchoalveolar lavage (90yo male) 🤼‍♀️🥊💞 Cytospin & cell block photomics for cyto-histo correlation lovers 🤓🫶🏼 #cytopath #pathart #pulmpath #PAPvsHE #incidental #beautyandbenign

🩷🔬Lovely corpora amylacea of lung. 

💦🫁Seen in bronchoalveolar lavage (90yo male)

🤼‍♀️🥊💞 Cytospin & cell block photomics for cyto-histo correlation lovers 🤓🫶🏼

#cytopath #pathart #pulmpath #PAPvsHE #incidental #beautyandbenign
Tania Labiano (@tlabiano) 's Twitter Profile Photo

🔬☢️ Reactive changes associated with radiation therapy on cervical Pap smear #cytology 🔎Increased cell size but low nuclear-cytoplasm ratio(N:C) 🔎 Multinucleation and nucleoli 🔎Cytoplasm vacuolization Scares a lot!👻🐺🐑 #cytopath #GynPath #MondayMotivation

🔬☢️ Reactive changes associated with radiation therapy on cervical Pap smear  #cytology 

🔎Increased cell size but low nuclear-cytoplasm ratio(N:C) 

🔎 Multinucleation and nucleoli

🔎Cytoplasm vacuolization 

Scares a lot!👻🐺🐑 
 #cytopath #GynPath #MondayMotivation
Syed Z. Ali (@sza_jhcyto) 's Twitter Profile Photo

Without the intranuclear inclusions, these "oncocytoid" cells would have been a bit difficult to be called "Papillary Thyroid Carcinoma" on FNA. Follow-up, "PTC, Tall Cell Subtype".

Without the intranuclear inclusions, these "oncocytoid" cells would have been a bit difficult to be called "Papillary Thyroid Carcinoma" on FNA. Follow-up, "PTC, Tall Cell Subtype".
Ziad El-Zaatari (@ziad_zaatari) 's Twitter Profile Photo

🔬📷 "Clefts and Calcium" ~ Cholesterol clefts and calcification, from atherosclerotic plaque in an aorta ~ #Pathology #Autopsy #CVpath #PathArt

🔬📷 "Clefts and Calcium" ~ Cholesterol clefts and calcification, from atherosclerotic plaque in an aorta ~ #Pathology #Autopsy #CVpath #PathArt
Tania Labiano (@tlabiano) 's Twitter Profile Photo

🔬Pap smear #cytology (ThinpPrep) with large atypical cells and hyperchromatic groups of extramammary Paget disease. ✍️📓➕ H-E and CK7 correlation. #Cytopath #Gynpath #HSILmimic #Papanicolaou #cytopathFamily Have all a happy weekend!! 🔝🫶🏽

🔬Pap smear #cytology (ThinpPrep) with large atypical cells and hyperchromatic groups of extramammary Paget disease. 
✍️📓➕ H-E and CK7 correlation. #Cytopath #Gynpath #HSILmimic  #Papanicolaou #cytopathFamily 

Have all a happy weekend!! 🔝🫶🏽
Mark Wilkinson (@thatglasstho) 's Twitter Profile Photo

🔬 Parotid FNA - What's your diagnosis? ⬇️ Vote or comment below! 📅 Answer will be revealed tomorrow! #CytoPath #ENTPath #PathTwitter

🔬  Parotid FNA - What's your diagnosis?
⬇️  Vote or comment below!
📅  Answer will be revealed tomorrow!

#CytoPath #ENTPath #PathTwitter
Frida Rosenblum (@fridarosenblum) 's Twitter Profile Photo

This is how my brain works. This is how I remember things. This is how I teach. Actinomyces in a GYN ThinPrep. #cytology #evilminion #actinomyces #UABcyto UAB Pathology

This is how my brain works. This is how I remember things. This is how I teach. Actinomyces in a GYN ThinPrep. #cytology #evilminion #actinomyces #UABcyto <a href="/UABPathology/">UAB Pathology</a>
Syed Z. Ali (@sza_jhcyto) 's Twitter Profile Photo

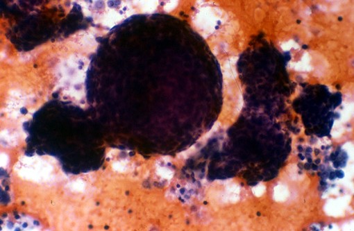
"Pseudomyxoma peritonei" (peritoneal mucinous neoplasia), with high-grade cytology. (Abdominal fluid, young patient with an ovarian mass)

"Pseudomyxoma peritonei" (peritoneal mucinous neoplasia), with high-grade cytology. (Abdominal fluid, young patient with an ovarian mass)
Syed Z. Ali (@sza_jhcyto) 's Twitter Profile Photo

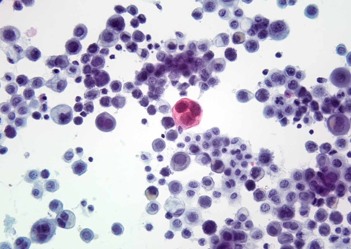
Although not a classic reason for a "Sister Mary Joseph Nodule", this peri-umbilical mass represents an "Epithelioid Mesothelioma". (FNA, smears and cell block, calretinin IHC)

Although not a classic reason for a "Sister Mary Joseph Nodule", this peri-umbilical mass represents an "Epithelioid Mesothelioma". (FNA, smears and cell block, calretinin IHC)