Zlatko Pozeg MD FRCSC (@zlatp) 's Twitter Profile
Zlatko Pozeg MD FRCSC

@zlatp

Director Center for Aortic Disease Cardiac and Endovascular Surgeon Saint John Regional Hospital New Brunswick Heart Center aorta.ca

ID: 21951779

linkhttp://www.aorta.ca calendar_today26-02-2009 01:24:34

353 Tweet

349 Followers

2,2K Following

Michael Chu (@michaelmwachu) 's Twitter Profile Photo

Excited about the upcoming 10th Annual Canadian Aortic Thoracic Collaborative Meeting this week! It will be a great opportunity to share, learn and continue the tradition as one of the most interactive meetings! We grow together and build the future with our trainees! 1/2

Excited about the upcoming 10th Annual Canadian Aortic Thoracic Collaborative Meeting this week!  It will be a great opportunity to share, learn and continue the tradition as one of the most interactive meetings! We grow together and build the future with our trainees! 1/2
Maral Ouzounian (@ouzounianmd) 's Twitter Profile Photo

Leaving #CTAC2023 invigorated. Incredible 10yr journey led by Michael Chu & more to come from this outstanding 🇨🇦 collaborative. Lots of friendships, clinical learnings, research driven by trainees along the way. Headed towards more randomized and multicenter data.

Leaving #CTAC2023 invigorated. 

Incredible 10yr journey led by <a href="/MichaelMwachu/">Michael Chu</a> &amp; more to come from this outstanding 🇨🇦 collaborative. 

Lots of friendships, clinical learnings, research driven by trainees along the way. Headed towards more randomized and multicenter data.
Maral Ouzounian (@ouzounianmd) 's Twitter Profile Photo

Calling all Ross surgeons or cardiac surgeons with opinions re: Ross procedure. Take a few minutes to do this survey led by Jordan Bloom. The results will be important to our community. Please retweet! CTSNet AATS The Society of Thoracic Surgeons EACTS CSCS Heart Valve Society

Nir Lipsman (@drnirlipsman) 's Twitter Profile Photo

Deeply missed, 3 years ago we lost Todd Mainprize. Friend, partner, brilliant surgeon and educator. I see many of his patients still, who to this day are heartbroken by his loss, and remember his warmth and compassion. Another measure of his impact on those he touched Sunnybrook Health Sciences Centre

Deeply missed, 3 years ago we lost Todd Mainprize. Friend, partner, brilliant surgeon and educator. I see many of his patients still, who to this day are heartbroken by his loss, and remember his warmth and compassion. Another measure of his impact on those he touched <a href="/Sunnybrook/">Sunnybrook Health Sciences Centre</a>
Zlatko Pozeg MD FRCSC (@zlatp) 's Twitter Profile Photo

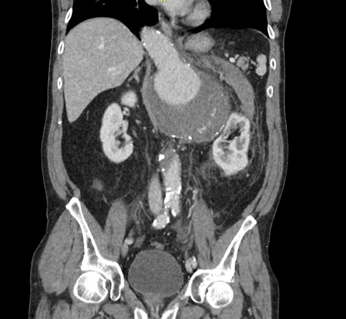
New Brunswick Heart Center collaboration with Vascular Surgeon Dr Christos Lioupis. His excellent planning and execution of complex arch cases in a collaborative manner is improving outcomes in these patients #AortaEd

New Brunswick Heart Center collaboration with Vascular Surgeon Dr Christos Lioupis.  His excellent planning and execution of complex arch cases in a collaborative manner is improving outcomes in these patients #AortaEd
Saurabh Gupta, MD MSc FRCSC (@soreabg) 's Twitter Profile Photo

Charlotte McEwen Heart Institute Zlatko Pozeg MD FRCSC jean-Francois Legare Chris White I'm just always amazed that I get to share space with such incredible aortic surgeons. Even just as a trainee... obviously can't pretend to be in the same space. It's truly humbling. And a blessing.

<a href="/c_mqn/">Charlotte McEwen</a> <a href="/HeartInstitute/">Heart Institute</a> <a href="/zlatp/">Zlatko Pozeg MD FRCSC</a> <a href="/jean_legare/">jean-Francois Legare</a> <a href="/cwilliamwhite/">Chris White</a> I'm just always amazed that I get to share space with such incredible aortic surgeons. Even just as a trainee... obviously can't pretend to be in the same space.

It's truly humbling. And a blessing.
Nimesh Desai MD PhD (@nimeshdesaimd) 's Twitter Profile Photo

#EndOfAnERA Today, I bid farewell to my mentor, colleague, and friend for the past 15 incredible years, @BavariaMD as he moves onward to new adventures.  Joe - your unparalleled wisdom has been the cornerstone of my career, and your friendship, a priceless gift. The global impact

#EndOfAnERA Today, I bid farewell to my mentor, colleague, and friend for the past 15 incredible years, @BavariaMD as he moves onward to new adventures.  Joe - your unparalleled wisdom has been the cornerstone of my career, and your friendship, a priceless gift. The global impact
Joseph Coselli, MD (@jcoselli_md) 's Twitter Profile Photo

Today, I reached a milestone, having completed my 3,800th thoracoabdominal aortic aneurysm repair. Back in May 2000, I performed my 1,510th, surpassing the previous record holder, Dr. E. Stanley Crawford's 1,509th. Many thanks to the team that made this possible. #NotRetiredYet

Today, I reached a milestone, having completed my 3,800th thoracoabdominal aortic aneurysm repair. 

Back in May 2000, I performed my 1,510th, surpassing the previous record holder, Dr. E. Stanley Crawford's 1,509th. Many thanks to the team that made this possible.
#NotRetiredYet
AATS (@aatshq) 's Twitter Profile Photo

Currently displayed poster and new in #JTCVS: Impact of Non-Diameter Aortic Indices on Surgical Eligibility: Results from the TITAN: SvS Randomized Controlled Trial. doi.org/10.1016/j.jtcv… #AATS2024 Ismail El-Hamamsy, MD, PhD Maral Ouzounian Nimesh Desai MD PhD Zlatko Pozeg MD FRCSC Puja Kachroo G C Hughes

Currently displayed poster and new in #JTCVS: Impact of Non-Diameter Aortic Indices on Surgical Eligibility: Results from the TITAN: SvS Randomized Controlled Trial. doi.org/10.1016/j.jtcv… #AATS2024

<a href="/IHamamsy/">Ismail El-Hamamsy, MD, PhD</a> <a href="/OuzounianMD/">Maral Ouzounian</a> <a href="/NimeshDesaiMD/">Nimesh Desai MD PhD</a> <a href="/zlatp/">Zlatko Pozeg MD FRCSC</a> <a href="/PujaKachroo/">Puja Kachroo</a> <a href="/GChadHughesMD/">G C Hughes</a>
Cambridge University Library (@theul) 's Twitter Profile Photo

We have a working Historic Printing Room at Cambridge University Library! Recently, we joined forces with Cambridge Visual Culture for a letterpress printing workshop led by Colin Clarkson. #cambridgeuniversitylibrary #letterpressprinting